发布时间:2014-01-27来源:作者:夏哲璇/图文审核:本站原创点击: 次
“跟你生活了大半辈子,头一回摸着你的手是暖的。”邓女士的丈夫拉着躺在病床上的邓女士的手,打趣着笑道。术后恢复得不错的邓女士听见丈夫这么说,脸上也绽开了幸福的笑容。
害怕开胸拒绝手术 亲友相劝放手一搏
今年42岁的邓女士家住百色靖西,早在上世纪70年代的时候就在上海查出了先天性心脏病-房间隔缺损,由于当时医疗技术落后,医生说等长大些到六七岁的时候再来看看,因为房间隔的缺损也有可能会随着年龄的增长而自动愈合。然而,待邓女士6岁时,已随父亲退伍转业回到了祖国的大西南广西,当时见她的病也没有更为严重的症状,考虑到家里的经济状况,就没有对其做进一步复查。
“小时候我的体育课从来没有及格过。”据邓女士回忆,母亲说她小时候还常常会昏过去。尽管有这么些烦恼,邓女士还是奇迹般的顺利成年,并结婚生子,拥有了一个幸福的小家庭。
邓女士的工作性质不涉及什么体力活,加上家人的照顾,除了手脚比较冰凉,平素较易感冒,嘴唇指甲颜色较常人深一些,偶尔会气喘心悸,一直也没有什么太严重的症状出现。但是近年来,她却愈加感到身体的力不从心。“逛街我倒不觉得累,只要是在平地走,都还行,但一爬楼梯就不行了,爬到三楼就开始喘,感觉累,特别明显。”邓女士描述近年来的感受这么说道。
九年前,她来到省城的大医院检查,医生告诉她说,她的心脏缺损太大了,通过微创手术做不了,还是要做开胸手术。邓女士想想觉得挺害怕的,还是下不了这个决心。五年前,她感觉偶尔会发作的心绞痛更加频繁了,近两年还逐渐出现口唇紫绀,但这些都还是没法动摇邓女士不做手术的想法。直到前一阵,邓女士一位在心胸外科工作的朋友了解到她的病情后,郑重地警告她,如果你再不下定决心做手术,放任病情发展下去,恐怕到晚期会非常痛苦,到时候坐也坐不住,站也站不了。邓女士这才认识到事情的严重性,决定放手一搏,做手术!
肺动脉高压达临界值 再晚一步就丧失手术机会
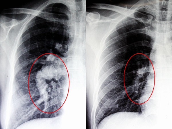
来到南宁的一家医院检查,发现邓女士的先天性心脏病-房间隔缺损已经导致肺动脉高压达到一个非常可怕的临界值,这个肺动脉高压的值再往上走,就会彻底丧失手术机会。正常的肺动脉压不超过30mmHg,平均压不超过20mmHg,邓女士的居然高达126mmHg。对于这家医院而言,邓女士的状况已经超出了他们的手术能力范围。无奈之下,邓女士只好再次踏上求医征程,经朋友介绍,来到广西中医药大学附属瑞康医院心胸外科治疗。
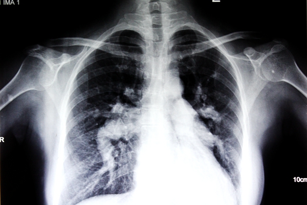
经过详细的心室造影和B超等各项目的检查,确定了邓女士的病情为“Ⅱ孔上腔型房间隔缺损、重度三尖瓣关闭不全、重度肺动脉高压”,瑞康医院心胸外科的专家们认为她具备手术指征,可以进行手术。在入院一个月后,经过精心的调理和周密的术前准备,邓女士顺利完成历时4个小时的手术,安返病房。
原来跟围棋国手聂卫平患上了同一种病?
“其实她这病跟围棋国手聂卫平患上的先心病性质是一样的,只是她比聂卫平幸运,没有继续拖延而丧失手术机会。聂卫平错过了手术时机,病情发展严重后身体血氧量严重不足,所以在进行下围棋这种高强度的脑力活动时,常常要吸氧就是这个道理。”对于邓女士的病情,瑞康医院心胸外科的专家如是说道。
“邓女士的先心病症状其实原本并不复杂,只是由于当年的医疗条件让她错过了最佳的手术时间,加上后来技术成熟后没有引起足够重视,不积极手术,才导致她的病情发展到现在相对复杂的情况。”心胸外科杨柳山主任给笔者这么解释。邓女士的左心房和右心房的间隔上天生就存在一个破损,伴随着每一次心跳,左心房就会有部分血液流到右心房,血液分流量虽然不大,但是由于缺损持续存在,天长日久,右心房就一直承担着更多的血液,压力逐渐增高,由此引发肺动脉高压、三尖瓣关闭不全等一系列问题。
“这就好比一间房子人多了,就要往外挤,”心胸外科的江毅医生做了一个生动的比喻,“门没有那么大,门框就会被挤坏,长期下去门板就没法很好地关上,右心室的三尖瓣瓣叶就好比是门板,而三尖瓣环就是门框。”
除此之外,肺动脉是右心房血液的出口,由于压力增大,灌向肺动脉的血液增多,动脉压力增大。而肺动脉承担得过多,就像人的手臂长期负重会变粗长肌肉一样,肺动脉的管壁也逐渐增厚,管腔变小,限制了更多的血液流向肺部,长期下去导致的结果就是部分血液残留聚集在右心房,使得右心房的压力更加巨大。
“针对这种肺动脉高压症状,医生最担心出现的一个结果就是‘艾森曼格综合症’。” 江毅医生解释,“艾森曼格综合症”实际上就是由于右心房的血液实在太多了,压力所迫最终通过房间隔缺损向左心室返流的症状,这时患者的皮肤粘膜会从无青紫发展至有青紫,完全丧失手术机会。
“其实邓女士的情况已经是走在了‘艾森曼格综合症’的边缘,前一家医院拒绝为其手术也是出于对这种情况的考虑,我们也是经过详细检查和科室讨论,做到很有把握后,才确定给邓女士施行手术的。” 杨柳山主任用严谨的语气说。
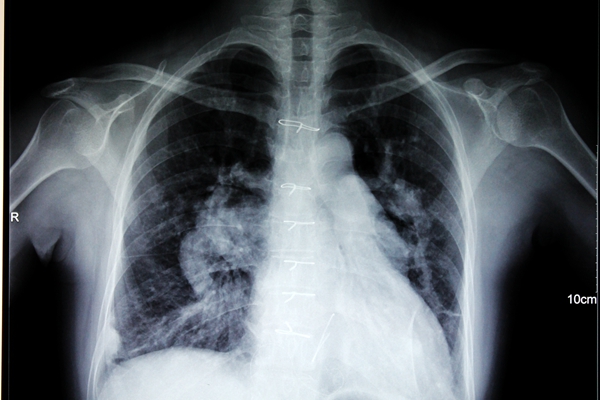
于是,12月底那场风险很大的手术中,杨柳山主任带领一支医技精湛的团队,沉着应对,为邓女士完成了房间隔缺损修补+三尖瓣成形的手术,除了三尖瓣成形这一手术中的精华部分,房间隔缺损修补还采取了活瓣修补的形式,以缓解右心房的压力。
顺利迎来新年 开心回家过春节
邓女士手术后平安返回病房,顺利迎来了2014年新年元旦。
“现在我的嘴唇和指甲都没有紫绀了,手脚也感觉暖和起来。我来瑞康医院算是找对人了,心胸外科的医生护士们态度都很好,对病人很负责,病人提的要求都会尽力满足,真的很感谢他们。”邓女士感激地说。
从入院术前调理到手术再到术后恢复,邓女士在瑞康医院总共住了约两个月。由于医院心胸外科医护人员的尽心尽责,加上家人的精心照顾,邓女士总算赶在春节前出院回家,得以跟家人过一个其乐融融的团圆年。
心胸外科杨柳山主任特别提醒,先心病的治疗理念还是倡导“早、小”,即在早期尽量实行矫正手术,随着心胸外科手术技术日臻完善,先心病手术已经能做到从患者病情考虑,而不再需要特别关注患儿年龄的大小。


