发布时间:2014-04-23来源:作者:韦安静/文 韦丽山/图审核:郑莹点击: 次
黄阿姨今年55岁,来自贵港,是一名肝癌患者。若不是近日来到广西中医药大学附属瑞康医院复诊,饱满的精神叫外人根本看不出她是个与肝癌抗争了3年多的病人。
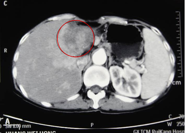
2013年7月,黄阿姨在我院被确诊为肝内胆管细胞癌,肝肿块鸭蛋大。在来我院治疗之前,已经辗转多家医院,病情都没有得到很好的控制。“3年前因为上腹部连腰部剧烈疼痛,到区内一家医院治疗,诊断我是‘肝肿瘤’,经过治疗,疼痛不仅没有缓解反而加剧。之后1年我四处求医,但希望最终都化为泡影,好几次因忍受不了疼痛想放弃治疗,放弃生命,偶然的机会医生介绍我到了瑞康医院。”
2013年7月,黄阿姨在家人的陪同住进了我院。“难受啊,痛的时候想马上死咯!”黄阿姨哽咽着说。因为无外科手术及介入治疗指征,化疗效果不确切,医生建议采取更为先进的射波刀治疗。
我院肿瘤科二区侯恩存主任介绍,我院是全国率先开展射波刀治疗的医院之一,目前已完成多例治疗,疗效显著。射波刀是一种非侵入性肿瘤治疗的技术,也是全球最新型的全身立体定位放射外科治疗设备。只需1~5次的照射,即可杀死肿瘤组织,是唯一综合“无伤口、无痛苦、无流血、无麻醉、恢复期短”等优势的全身放射手术形式。
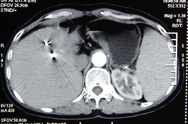
结合化疗、中药等中西医结合治疗方案,黄阿姨的病情在治疗1周后明显得到控制,肿块逐渐变小,疼痛感逐渐减轻……出院时疼痛已完全消失。今年3月,黄阿姨再次到我院进行复查,当她得知癌肿基本消失时激动万分……
现在,黄阿姨面容舒展、神采弈弈、精神饱满,从外表上根本看不出是个身患3年癌症的病人。“健康的心态对癌症病人至关重要。” 侯主任认为,黄阿姨之所以能健康生活到现在,关键是乐观积极的心态,以及不畏艰苦的毅力。目前,该科肝癌患者中,存活10年以上的并不罕见,黄阿姨也有望继续突破自己,创造新的纪录。

治疗前

肝癌射波刀治疗后肿块消失

黄女士近照