发布时间:2014-02-26来源:作者:杨杰审核:覃超点击: 次
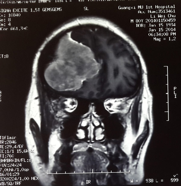
日前我院神经外科成功为一80岁高龄脑瘤患者实施了开颅肿瘤切除术,切除了一个5.6cm×6.3cm×5.7cm的巨大脑膜瘤,并保持了老人术后头颅外观形态正常,使其原本因肿瘤压迫脑组织导致无力的左侧肢体得以自由活动。
李大爷三年前就开始出现反复的头晕和头疼,“让他去医院仔细检查一直不愿意,就当是风热感冒,吃些退热散止痛。”李大爷的儿子李先生介绍。
半个月前,李大爷左半边身体突然变得没有力气,走路缓慢,“我觉得不能再拖下去了,就把他送到我们当地医院进行检查。”经过CT检查发现李大爷脑部存在病变,“我们那的医院说没有动手术的能力,让我们往大医院送。”李先生不敢怠慢,第二天就来到省城大医院进行仔细检查。
经过确诊,李大爷的病是由右侧额区凸面脑膜瘤引起的。正是这个肿瘤压迫了神经才造成老人左肢无力。但鉴于他年事已高,医生认为手术风险极大,家属在医生推荐下来到我院神经外科求救。
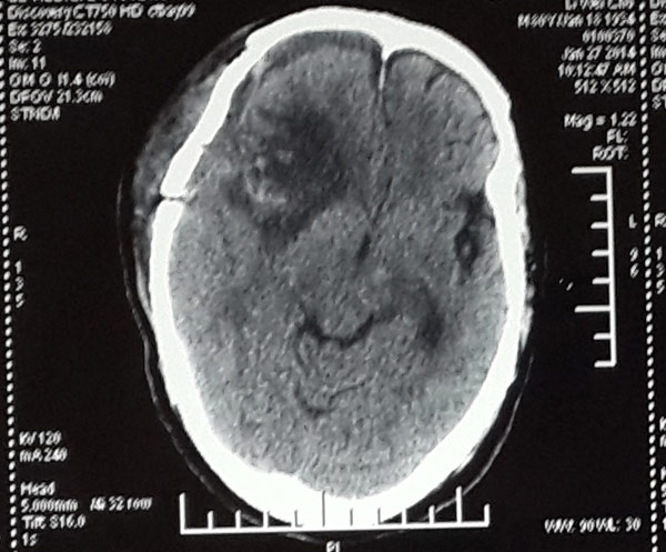
头颅CT显示,李大爷颅内肿瘤已经长至鸭蛋大小,立即手术是挽救老人生命的唯一办法。
征得家属充分理解同意后,医院神经外科专家讨论决定放手一搏,迅速制定了麻醉和手术方案,开始了紧张的手术。
通过手术探查,医生发现肿瘤侵占了整个脑颅近一半的空间,“李大爷的右边大脑组织已经受到肿瘤的挤压变形,再不手术李大爷很有可能出现出现生命危险。”神经外科张雅轩医生介绍。
在范学政主任以及张雅轩医生等神经外科医护团队三个多小时的合力奋战,手术顺利完成,脑瘤组织被完全切除,挽救了李大爷的生命。

李大爷手术后卧床看报纸

术前可见巨大脑膜瘤

术后脑膜瘤被完整移除