一位86岁罹患肺癌的高龄老人,经广西中医药大学附属瑞康医院射波刀治疗6天后出院,1年后复查肿块消失,2年后复查肿瘤无复发。
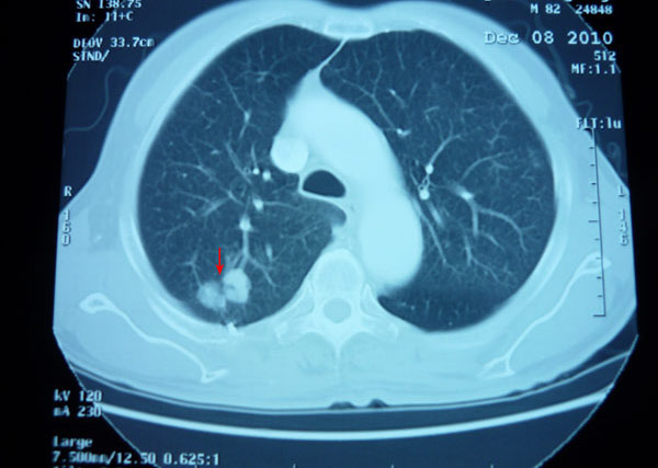
2010年 7月,廖老当时82岁,因反复咳嗽、咳痰10余年,住进南宁市一家医院,经CT检查发现右下肺有2×2×2..5cm肿块,经病理检查诊断为右肺腺癌。当时在医院进行了“粒子植入法”治疗,后又经朋友介绍于2011年底到广州一家私立医院行 “干细胞移植术”,疗效均不佳。
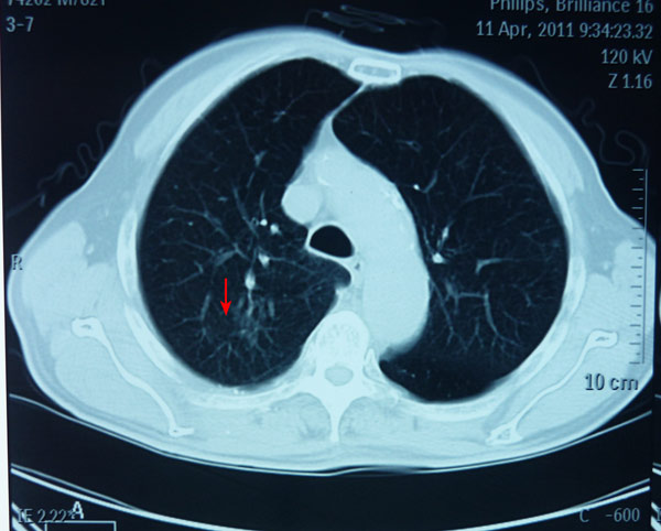
2011年1月17日,老人住进我院肿瘤科。经专家会诊认为老人年纪大,采用目前全球非常先进的立体放射治疗设备——射波刀(不麻醉、不开刀、不出血、不疼痛、精确消灭肿瘤)治疗,每天治疗40分钟,连续3天治疗结束,前后住院6天出院。出院后老人没有特别不适,在家里还下地种菜,做家务等。治疗1年后老人回院复查CT显示肺部癌肿消失。2013年底又再次行CT检查,提示肿瘤无复发。
如今,老人在家乡安享四世同堂的晚年幸福生活。

廖老右上肺癌治疗前

射波刀治疗后一年肿块消失
急诊:0771-2188120
门诊部:0771-2188018










