发布时间:2013-11-15来源:作者:李金萍/文 杨杰/编辑审核:杨杰点击: 次
来自贵港的李女士是个体育老师,爱好运动,但是5年前视力开始下降,视野也缩小了。李老师自以为是近视,佩戴眼镜后视力改善也不理想,视力还是持续下降,甚至不能正常给学生上课。
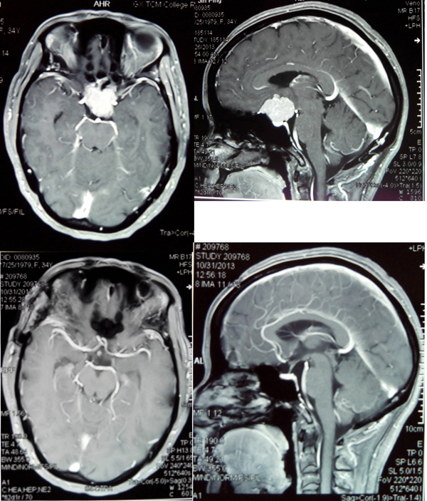
今年6月份视力下降到半米外都看不清手指数,李老师再不敢大意,到医院检查发现是脑部长了肿瘤。由于肿瘤长在脑部关键部位,周围布满神经和血管,手术难度极大,当地医院介于技术条件有限便建议其到我院就诊。
李老师进入我院时检查显示,左侧视力仅有1米指数,右侧视力仅有0.5米指数,佩戴眼镜后左侧视力0.1,右侧视力0.25。视力已接近失明,如果不及时治疗,最终将真正失明。
神经外科范学政主任和李亚平等医生认真分析了李老师的病情:肿瘤长在颅内鞍区,只能手术治疗,但是肿瘤与颈动脉和视神经的距离只有几毫米,手术稍有不慎就会损伤颈动脉引起大出血。如果损伤视神经则会失明,甚至有可能引起肿瘤周围的垂体等重要神经组织损伤,导致尿崩电解质混乱,昏迷甚至成为植物人。
李老师和其家属在得知手术利弊后,毫不犹豫地对范学政主任说:“我相信瑞康医院神经外科能做好这个手术,我同意手术。”
带着李老师的重托,范主任认真制定了严密的手术方案,于7月31日主刀为其手术。范主任在显微镜下小心翼翼地操作,经过几个小时终于将肿瘤完全切除,而且没有损伤肿瘤周围的血管和神经,未出现任何并发症。术后2个月,李老师的视力已经明显恢复,再一次回到心爱的工作岗位。
范学政主任介绍,脑肿瘤的临床表现常见有头痛呕吐。但是,有些肿瘤可能表现为视力下降、停经泌乳,不孕不育。也有些表现为耳鸣耳聋和口眼歪斜,所以对出现以上任何一种表现都不可轻视,需到神经外科专科就诊。
脑肿瘤的治疗方法是首选手术治疗,瑞康医院在脑肿瘤方面的治疗是采取微创的显微手术方法,显微手术的优点是肿瘤切除干净彻底,对正常组织的损伤小,并发症少,恢复较快。

上图为治疗前肿瘤,下图为治疗后肿瘤消失

李老师治愈后与范学政主任开心合影