发布时间:2014-07-07来源:作者:肝胆外科 张洪昌审核:杨杰点击: 次
2014年7月4日,经过近十二个小时的手术,我院肝胆外科成功为一名肝癌患者成功实施了腹腔镜辅助下联合肝脏离断和门静脉结扎的二步肝切除术(associatingliver partition and portal vein ligation for staged hepatectomy,ALPPS)。ALPPS手术的实施标志着我院肝胆外科继精准肝切除后在肝癌的手术治疗方面取得的又一大突破,为广大肝癌患者尤其是较晚期肝癌或者合并肝硬化剩余肝脏体积较小而不能耐受大体积肝脏切除患者带来了福音。
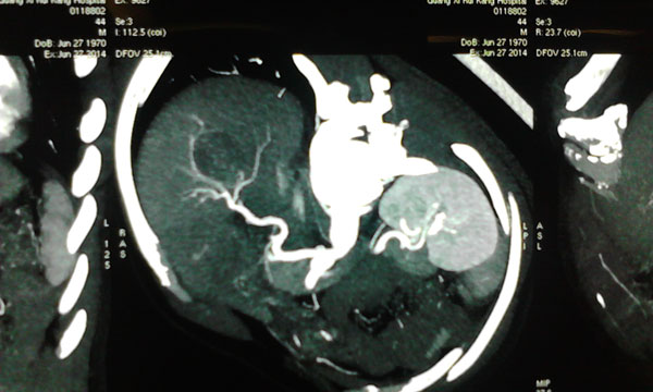
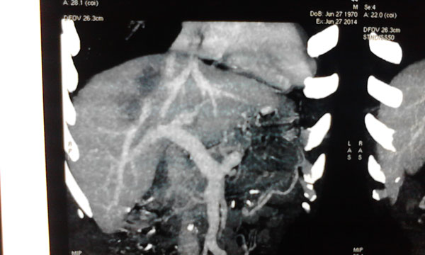
患者确诊为原发性肝癌,肿瘤位于肝脏的ⅦⅧ段,侵犯肝右静脉,与肝中静脉关系密切,必须行右半肝全切除,残留肝体积需达到标准肝体积的40%左右才能保证术后肝功能正常,而患者的残留肝脏体积仅占标准肝体积的30%,传统上认为达不到手术切除的要求。韦杨年主任决定采用世界肝脏外科革命性的二步肝切除技术。
7月4日卫生部肝胆肠中心的李年丰教授和我院肝胆外科主任韦杨年副教授及其团队,为患者实施采用第1 步腹腔镜下肝脏离断和门静脉右支结扎,以此减少右侧肝的血液供应,同时将左、右半肝劈开分离。
待患者术后7~10天,保留的肝脏体积快速增长到40%的“安全线”,符合开展第二次手术的安全标准后,再将肿瘤部位的右半肝完整切除。预计第二次手术将在下周进行。
联合肝脏离断和门静脉结扎的二步肝切除术(associatingliver partition and portal vein ligation for staged hepatectomy,ALPPS)用于治疗剩余肝脏体积较小而不能耐受大体积肝脏切除术的较晚期肝癌病人。经典的ALPPS 采用开腹的手术方式,是近年来最具创新突破性的肝胆外科技术之一。腹腔镜肝切除术在选择性病例中已被证实安全有效,对照研究显示其相对于开腹术式具有出血少、并发症发生率低且病人术后生活质量较高的优势。因此,腹腔镜辅助下ALPPS 可能具有更好的安全性与微创优势。
该手术在临床的成功探索,为传统意义上不可切除的肝癌寻找到了手术治疗的新途径。根据文献检索全球范围内报道的成功案例仅百余例,我国也仅有上海、四川、湖南等地开展了5例。
手术完整切除肿瘤是肝癌患者获得根治性治疗效果的首选办法,而影响肝癌切除率的主要原因是肿块累积的肝脏体质范围。有的肝肿瘤技术上虽然能切,但如果保留的正常肝体积过小,则不足以维持肝脏术后功能,患者很难度过肝功能衰竭的危险期;对于肝脏有损伤(如化疗后)或合并肝硬化的患者,肝脏切除术后需保留部分体积要大于40%。
目前,全球肝癌手术切除率最高不过30%,换言之10个人中只有不到3个人具备手术切除的条件。因此,全球外科专家都在努力探求手术新方法,解决扩大外科手术切除肝脏局部巨大肿瘤,降低术后因肝衰竭死亡的发生率。2007年,德国专家Hans Schlitt教授首创了联合肝脏离断和门静脉结扎的二步肝切除术,简称ALPPS。该手术的原理是通过调整改变肝脏血流,促进正常肝组织再生,以最大范围地切除肝肿瘤,提高切除率。使传统意义上认为不可切除的部分肝癌患者赢得手术治疗机会。
但是该手术操作难度大,必须具备精准肝切技术,尤其是要确保首次手术患者的术后安全和不感染。因此,当前世界上仅有少数医院的肝脏外科成功开展过该类手术。能否将这一创新手术方法用于治疗风险较大、肝脏再生能力较差的原发性肝癌合并肝炎、肝硬化患者,则仍然缺乏相应的临床实践。

手术现场

肿瘤的位置

肿瘤与肝动脉

肿瘤与肝静脉