发布时间:2014-07-21来源:作者:杨杰 张洪昌审核:杨杰点击: 次
伴随着监护仪发出平稳的“滴、滴”声响,在明亮的无影灯下,广西中医药大学附属瑞康医院肝胆外科的医生们正紧张有序地为一名患者进行手术。在跨越十天的两次手术后,瑞康医院成功完成广西区内首例联合肝离断和门静脉结扎的二步肝癌切除术(ALPPS手术),为患者切除了大小为5cm*5cm*8cm的肝脏肿瘤。
今年44岁的黄立明(化名)是南宁周边的工人,“两个星期前,晚上睡觉的时候感觉右上腹明显的胀痛。”于是黄先生在家附近医院检查。而检查的结果却如如晴天霹雳:肝脏上长了一个肿瘤。
这一噩耗让黄先生慌了手脚,但想到自己上有老下有小,是家中的顶梁柱:“我要做工养活一家老小,不能放弃治疗。” 抱着最后一丝希望,他来到我院就诊。
经过全面、详细的检查,黄先生被确诊为原发性肝癌,医生发现肿瘤位于肝脏的ⅦⅧ段,侵犯肝右静脉,与肝中静脉关系密切,必须行右半肝全切除,只剩下左半肝,而且肿瘤将第2肝门严重挤压。
肝脏分离:养大“好”肝脏 结扎“坏”肝脏
经过多学科外科专家联合讨论,一致认为可为患者实施联合肝离断和门静脉结扎的二步肝切除术(ALPPS手术)。此术式为新技术,在国际仅有百例,国内仅有上海、四川、湖南等地开展了5例。
它是通过第一步联合门静脉右支结扎及左右肝离断术,阻断了右肝的门静脉供血,使左肝门静脉血流增多,短期内左肝增生,达到手术切除肝癌的要求后,第二步行肝癌切除。
“通俗地说,就是我们需要将黄先生的肿瘤所在的右边半个肝脏全部切掉才能彻底去除癌变组织。但是切除的前提是剩下的肝脏占到全部肝脏的40%才能保障黄先生的生命。手术前,黄先生剩下的肝脏只有30%,不能进行肝脏切除,否则会有生命危险。”
“为了阻止癌变肝脏继续生长,而完好肝脏生长至能维护生命的40%。”,肝胆外科专家们决定先将癌变部分肝脏和完好部分肝脏进行分离,之后将癌变部分肝脏的“供血管道”—— 门静脉右支进行结扎,以便实施肝脏切除手术。
因患者需在10天内接受两次手术,手术技术难度和风险也相当大。而针对本例患者,决定采取第一步腹腔镜手术,第二步开腹手术,“采用腹腔镜是为了最大程度减少对患者身体的伤害,具有出血少、愈合快、并发率小,手术后生活质量高的优势。”
历时十天:肝癌清除 重获新生
7月6日,卫生部肝胆肠中心的李年丰教授和我院肝胆外科主任韦杨年副教授及其团队主刀为患者手术。术中探查发现肿瘤位于肝脏ⅦⅧ段,大小约有8.0cm×5.0cm×5.0cm,左肝轻度硬化。在仔细探查后,韦主任为他施行了腹腔镜下门静脉右支结扎+肝脏离断术+胆囊切除术。
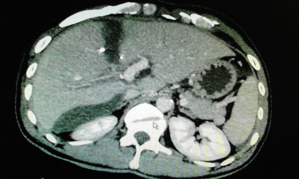
术后,黄先生被送回病房修养。在医护人员的精心治疗和护理下,患者病情稳定,仅有低热及轻度的疼痛,肝功能稳定。在术后第七天, CT检查发现左肝残肝增生明显,残肝体积已经达到右半肝切除的要求。
7月16日,韦杨年主任再次主刀,为黄先生施行右半肝切除术。手术非常顺利,术中无需阻断第一肝门,最大限度地保护了左肝残肝的功能。经过两次手术,成功切除右半肝,剖示肝脏肿瘤大小约8.0cm×5.0cm×5.0cm,肿瘤病理结果为:肝细胞肝癌。
目前,黄先生的右半肝已被切除,达到根治的目的。正在病房养护的他说,自己又充满希望,期待早日康复。
背景资料:
肝癌为癌中之王,手术切除肝癌是效果最好的治疗手段。但因肝癌早期症状不明显,具有巨大的隐匿性,许多患者出现症状并发现肝癌时,肿瘤已生长巨大,失去手术治疗的最佳时机。
联合肝脏离断和门静脉结扎的二步肝切除术(associatingliver partition and portal vein ligation for staged hepatectomy,ALPPS)用于治疗剩余肝脏体积较小而不能耐受大体积肝脏切除术的较晚期肝癌病人。
手术完整切除肿瘤是肝癌患者获得根治性治疗效果的首选办法,而影响肝癌切除率的主要原因是肿块累积的肝脏体质范围。有的肝肿瘤技术上虽然能切,但如果保留的正常肝体积过小,则不足以维持肝脏术后功能,患者很难度过肝功能衰竭的危险期;对于肝脏有损伤(如化疗后)或合并肝硬化的患者,肝脏切除术后需保留部分体积要大于40%。
目前,全球肝癌手术切除率最高不过30%,换言之10个人中只有不到3个人具备手术切除的条件。
因此,全球外科专家都在努力探求手术新方法,解决扩大外科手术切除肝脏局部巨大肿瘤,降低术后因肝衰竭死亡的发生率。2007年,德国专家Hans Schlitt教授首创了联合肝脏离断和门静脉结扎的二步肝切除术,简称ALPPS。
该手术的原理是通过调整改变肝脏血流,促进正常肝组织再生,以最大范围地切除肝肿瘤,提高切除率。使传统意义上认为不可切除的部分肝癌患者赢得手术治疗机会。
但是该手术操作难度大,必须具备精准肝切技术,尤其是要确保首次手术患者的术后安全和不感染。因此,当前世界上仅有少数医院的肝脏外科成功开展过该类手术。能否将这一创新手术方法用于治疗风险较大、肝脏再生能力较差的原发性肝癌合并肝炎、肝硬化患者,则仍然缺乏相应的临床实践。

术中彩超检查

肿瘤的位置

第一次术后复查CT
(以下图片可能会引起不适,请谨慎查看)

肿瘤标本

右半肝标本

肝后下腔静脉