发布时间:2014-08-31来源:作者:杨杰审核:杨杰点击: 次
41岁的黄先生在平南县从事农贸生意,家中儿女双全,本过着幸福的生活。然而两个月前黄先生莫名出现头晕,左耳耳鸣的情形,以为是小毛病就不太放心上,没曾想到6月下旬,竟然发展成左腿乏力,行走不便,连话都说不太清楚。
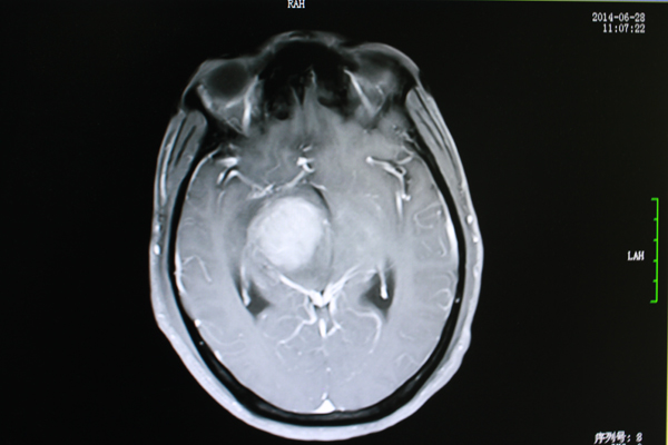
在南宁一家医院进行MRI检查后,黄先生被告知:桥脑、右侧大脑脚及右侧基底节区占位。也就是大脑的重要功能区长出了一个肿瘤。
6月23日,寻医无门的黄先生来到广西中医药大学附属瑞康医院神经外科向范学政主任求救。
范学政主任解释黄先生病情的特殊性,“肿瘤所在的区域位置深,功能重要而且复杂,贸然进行开颅手术可能会导致死亡或者残废。”
入院一个星期之后,由于病情恶化,黄先生的头痛头晕明显加重,左侧肢体乏力明显,一度进入昏迷状态。
范学政主任联合主管医生姜盛强等神经外科专家团队对黄先生的治疗方案进行讨论,最终得出结论:黄先生的肿瘤位于脑干等重要功能区暂时无法进行开颅手术,而且没有病理学支持进行化疗,只能通过不开刀的射波刀进行放疗。
“如果不是射波刀,长在这种地方的肿瘤基本没办法治疗。”
7月1日,黄先生在神经外科医生严密观察下进行首次射波刀治疗。
“实施射波刀治疗后的第二天,他就不再昏迷了,意识很清醒,左腿也有了力气。”黄先生的妻子表示射波刀的效果十分显著。
7月7日,黄先生实施第二次射波刀治疗,“过程十分顺利,并没有出现异常反应。”在之后进行的可以看到黄先生的身体状况有了进一步的恢复。
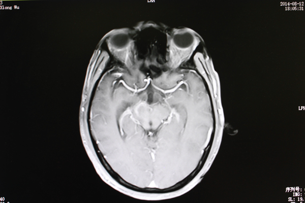
8月12日,从最新的MRI检查结果上显示,病灶水肿范围较之治疗前明显缩小。
主管医生姜盛强介绍肿瘤治疗效果的标准:“有五个层面,包括恶化(肿瘤继续增大);无变化(肿瘤缩小在25%以下);微效(肿瘤缩小在25%-50%之间);有效(肿瘤缩小在一半以上);显效(肿瘤病灶消失)几个等级。”
“黄先生属于有效,也就是从肿瘤已经明显缩小,肿瘤对脑部神经和组织的压力减小。”
目前,黄先生在复查后已回家休养。由于肿瘤对于脑部神经的长期压迫,黄先生目前行走仍有些不便,黄先生对身体恢复充满信心:“我们回家后会继续锻炼,相信不久就能像以前一样正常走路了。”

治疗前

治疗后