欢迎访问广西中医药大学第二附属医院官方网站

设为首页 收藏网站

裹中参西,厚德精医

新闻中心

您的位置: 首页>新闻中心>医疗技术

清毒扶正抗肝癌——广西中医药大学附属瑞康医院中西医结合“三联疗法”治疗肝癌显效

发布时间:2014-11-20来源:作者:信息宣传部/文 韦丽山/图审核:本站原创点击:

分享到:
    肝癌是一种最常见的恶性肿瘤之一,而且恶性程度很高,人们往往谈肝癌色变。广西是肝癌的高发区。据统计,2007年以来,瑞康医院运用射波刀+中草药三联疗法治疗肝癌已达上千例。
    家住南宁身患肝癌12年的患者李阿姨和贵港肝癌患者黄女士,他们一直坚持来瑞康医院治疗其原因是:瑞康医院运用中西医结合“三联疗法”,让他们实现了带瘤生存多年。
 
七旬老人患肝癌12年坚持中西医治疗
    2003年的一天,携带乙肝病毒20余年的李阿姨由于上腹部不适10余天而入住我院肝病内科。入院检查发现肝功能A级,肝脏CT显示肝前叶巨块型肝癌,肿瘤大小为6.0×6.8×6.0cm,包膜完整,但未见癌栓形成。若不采取积极治疗,李阿姨的生存期约只有6个月左右,且随着病情的发展,生存期将会倒计时……。
    “为了照顾家里人,我不能倒下”。深思熟虑后的李阿姨不同意手术治疗,毅然来到了瑞康医院寻求中西医结合保守治疗。
 
反复上腹部疼痛3年余,原来是肝内胆管细胞癌
    2013年7月,广西贵港市的55岁的黄女士因上腹部不适一个月来到瑞康医院检查,被确诊患上了肝癌。
三年前,黄女士在没有明显诱因的情况下出现右上腹钝痛不适,呈持续性并放射至腰背部,到当地医院做了胃镜检查与CT检查,结果诊断是糜烂性伴反流性胃炎。她先后多次在当地医院治疗但效果不佳。
    去年7月,在腹痛加重一个月后,经熟人介绍,黄女士来到了瑞康医院肿瘤二区,检查发现她患上的是一种恶性程度非常高的肝内胆管细胞癌。通过手术难以完全切除,即使勉强切除,也有很大可能复发,还容易引发起肝功能衰竭等严重并发症。手术疗效不好,这种癌对化疗药物的敏感性也相当差,可是如果不采取治疗,病情很快会恶化。黄女士将进入6个月极为痛苦的生命倒计时。
    “每天24小时都持续疼痛,痛到每天睡觉要屈腿压住腹部,才会感觉好一点点”回想起刚入院时的疼痛,黄女士仍然心有余悸。
 
“三联疗法”治疗肝癌显效
    李阿姨不愿意进行手术治疗,黄女士不适宜传统手术治疗,在和两名患者进行病情分析及沟通后,我院肿瘤二区主任侯恩存、副主任陆运鑫根据他们长期的治疗经验,决定采取中西医结合三联疗法治疗。
    所谓“三联疗法”,亦称“三明治”疗法,即首先介入“控瘤”,之后局部消融“消瘤”,最后辅以中药“抑瘤”。在中药“抑瘤”方面,瑞康医院肿瘤科有着得天独厚的优势,因为广西药用植物资源丰富,其中就有不少中草药、壮药具有抗肿瘤的作用。其中一位抗癌草药——芒果叶,在南宁市大街小巷都有,随手可摘。科室应用了民族特色中医药,如叶下珠、白花丹、芒果叶等进行“抑瘤”,这些中药对肝癌患者的复发和转移有很好的抑制作用,与不用中草药治疗的患者对比,能明显延长生存期,且生活质量也明显提高。
    专家们对两位患者分别制定了治疗措施。给予李阿姨行“介入治疗”,再配合“氩氦刀”局部冷冻癌肿治疗,以达到缩瘤消瘤的目的;再根据病情行全身化疗,以清除微小病灶;同时通过辨证施治使用中草药进行扶正祛邪治疗,进一步控制肿瘤的复发和转移。
    李阿姨在我院经过“三联疗法”治疗后,再结合长期使用中草药辨证治疗,较好地控制了肝癌的发展。经多次复查肝CT、磁共振等提示肝内病灶稳定并逐渐缩小2-3厘米。至今,她带瘤生存了12年,目前李阿姨像正常人一样生活。
    贵港黄女士是2013年确诊为胆管细胞癌,当时癌肿已有6-7厘米大。经过十天左右的射波刀治疗,同时运用中草药扶正抑制癌肿治疗。持续服用中药9个月后,她再次来到了瑞康医院进行磁共振检查,让黄女士感到惊喜的是:肝脏巨大肿块竟然明显缩小了,而且其他部位没见新病灶。如此良好的效果是中西医结合“三联疗法”的作用。
    如今,黄女士已经安然度过了16个月的危险期,可以独自完成日常家务活,还可以下地劳作。今年10月,黄女士来到瑞康医院复查,还遇到了与她情况相似,已经带瘤生活12年的李阿姨,这让她对战胜肝癌,有了更大的信心。
 
治肝癌获广大患者认可,央视到瑞康采访
    到目前为止,我院肿瘤科用“三联疗法”治疗的肝癌病人在1000例以上,取得了较满意的疗效,也获得广大患者的认可和赞誉。“三联疗法”给肝癌患者带来了一个新的希望。为发掘民族医药的作用提供了一个新的思路。医院还研制了上述中草药组方的膏方、丸剂、散剂等,方便患者服用。
    2014年10月,中央电视台《中华医药》栏目组一行来到我院肿瘤科二区进行了专题采访,重点报道我院开展“三联疗法”——射波刀联合广西特色中草药、壮药治疗肝癌取得的成绩和经验。栏目组一行先后深入肿瘤科门诊、肿瘤科病区、射波刀治疗中心、CT室及患者家庭等地进行采访摄制。我院肿瘤科侯恩存主任,陆运鑫副主任等接受了记者的专访。患者李阿姨与黄女士也参与了摄制过程,她们互相分享了抗癌经历并鼓励对方听从医生的建议,坚持不懈地与癌症作斗争。  
 
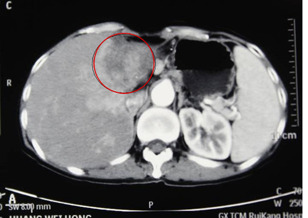
黄女士治疗前肝肿瘤(红圈内)
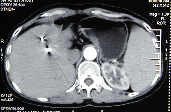
黄女士治疗7个月后肝肿瘤消失
 
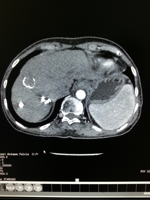
肝癌李秀英2012.6CT右叶肿瘤2厘米,下两个分别为0.5厘米
陆运鑫主任为患者检查
中央电视台《中华医药》正在拍摄李阿姨和黄女士

以案促改

清廉医院

纪检举报

预约挂号

门诊流程

医保指南

健康体检

联系我们

返回顶部