发布时间:2014-11-21来源:作者:杨杰审核:覃超点击: 次
18岁的小雨本来应该在高三的课堂上,但是自2012年被查出患有左侧脑室管膜瘤,因头晕乏力休学在家,学校生活便离她远去了。所幸的是经过我院肿瘤科二区医生的精心救治,小雨已经恢复了青春活力,坐在病床上通过电话与同学开心地聊起天了。
“2012年2月份的时候小雨在乘车时出现头晕头痛,呕吐,之后就经常说头晕,右腿也渐渐不听使唤了。”11月14日,看着静养的小雨,妈妈介绍了病情。
之后小雨在南宁一家医院实行了左侧丘脑脑肿瘤切除术,经病理诊断为左侧脑室管膜瘤。手术过后,配合放疗,小雨的肿瘤得到初步控制,“但医生也提醒还是有复发危险。”
今年4月份,小雨再次出现头晕头痛,视力模糊,偶有呕吐。“因为肿瘤的原因,小雨已经停经一年了。”为了能够让女儿恢复活力,妈妈开始在网上搜索副作用较小的肿瘤治疗方法。“我们搜索到肿瘤科二区侯恩存主任的介绍,觉得有希望,就慕名而来了。”
肿瘤科二区侯恩存主任仔细研究患者病情并结合多名肿瘤专家意见后认为,小雨的病情属于颅内肿瘤复发,需要进行手术才能清除,但由于肿瘤侵犯丘脑、脑干,不适宜手术及射波刀治疗。
经过肿瘤科二区专家的多次讨论,决定为小雨实施化疗加中药治疗的方案。侯恩存主任介绍,“在放疗药物上我们为小雨选择替莫脞胺胶囊。在中医治疗上宜扶正固本,消毒化瘀、软坚散结,服用我科处方扶正清毒抑癌膏,以黄芪、杜仲、柴胡等二十多味药物合剂,起到补益肾气、疏肝解郁,补后天之本等疗效。”
两个疗程的精心治疗后,小雨的病情得到稳定,头晕头痛,肢体乏力症状较前减轻。
“现在小雨的意识清楚了,吃饭也正常了,走路变稳了。例假也来了,身体恢复正常发育。”妈妈对效果表示很满意。“家里条件并不宽裕,但是只要看的到疗效,我们都会坚持下去。”
侯恩存主任介绍,替莫唑胺胶囊是新型抗肿瘤药物,可有效治疗新诊断及复发的胶质母细胞瘤和间变性星形细胞瘤,延长患者生存期,而且安全性和耐受性良好。待小雨的肿瘤周围组织水肿减轻,肿瘤明显缩小后,具有放疗指征时,将会为小雨实施精准射波刀治疗。
室管膜瘤来源于脑室与脊髓中央管的室管膜细胞或脑内白质室管膜细胞巢的中枢神经系统肿瘤。总发病率占颅内肿瘤的2%~9%,占神经上皮肿瘤的10%~18.2%,多见于儿童及青年。手术是根治室管膜下室管膜瘤的主要措施。但对于肿瘤细胞核呈多形性改变的,或为混合性室管膜瘤——室管膜下室管膜瘤的患者,建议放疗。

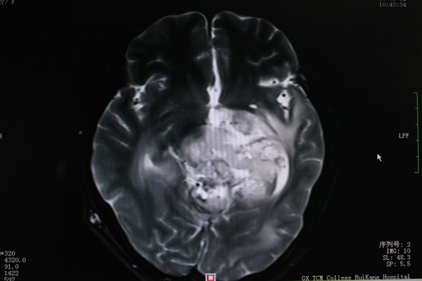
小雨9月MR图像

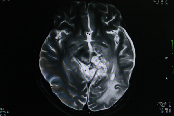
11月MR图像,可见肿瘤已明显缩小。