发布时间:2014-11-21来源:作者:张洪昌-肝胆外科审核:覃华芳点击: 次
肝癌素有“急性癌”之称,起病隐匿、发展快、预后差。大肝癌是指肿瘤直径>5cm的肝癌,而巨大肝癌则是指肿瘤直径>10cm 的肝癌,两者约占临床确诊肝癌患者的75%。以往认为大肝癌和巨大肝癌因病情相对较晚,大多放弃手术治疗,而我国发病人数又居首位, 年死亡数多达33万例左右并且呈上升趋势, 死亡率在各种恶性肿瘤中居第二位。由于其早期症状隐匿, 大多数患者就诊时已属中晚期, 因此大肝癌在我国很常见。肝癌临床诊断后,如不经特殊治疗,绝大多数患者会在一年内死亡。
由于肝癌在早期没有特异性表现,常不会引起患者的重视,当明显感觉腹部胀痛不适,甚至摸到腹部巨大包块而就诊时,往往已经是大肝癌。过往认为肿瘤越大,分期越晚。但最近医学科研人员经过长期的临床研究发现,曾被认为是晚期肝癌、不能进行手术的孤立性大肝癌,有部分竟是早期肝癌,手术疗效十分显著。这一发现,预示着曾被列入“不可手术救治”黑名单的孤立性大肝癌患者有救了。这些大肝癌过去被认为是不治之症,甚至某些医生限于经验、技术和条件,宣判这些患者“死刑”,从而放弃了有效的治疗。事实上,只要肿瘤有完整的包膜、无多发病灶、残留肝脏预测能有效代偿肝功能,即使是紧邻大血管的巨大肿瘤,也可安全地实施手术切除。当然,这需要手术者有熟练的切肝技术,以及有效地判断残余肝脏的代偿功能。另外,手术时如能有效地阻断肝癌侧的出入肝血流,则可以减少术中的出血,又可以保护残余肝脏的血液供应及其功能,减少术后并发症。
肝癌较局限、肝功能正常、肝硬化不严重者,以手术切除为首选;如肝功能异常,可先用中药或西药做保肝治疗,待肝功能恢复后再考虑手术。对于一些无法一期手术切除的大肝癌患者可以采取肝癌介入治疗、射频或射波刀治疗等非手术治疗来杀灭肿瘤,待瘤体缩小后再行手术治疗或者行二步切肝法。对于可切除大肝癌,目前肝切除仍是首选的治疗方法,故应采取积极的态度予以治疗。
然而,为使大肝癌安全切除,术前必须做到:正确把握大肝癌手术切除的适应证;全面、准确地评估病人对大范围肝切除的安全性与对手术的耐受性,最终作出正确的手术抉择。与此同时还要做好充分详尽的术前准备,将病人调整至最佳状态。术前的各项决策与准备务必做到心中有数,以策手术安全。 我们认为目前肿瘤的大小与部位已不是限制肝癌切除的主要障碍,而肝脏功能状态与肝脏功能储备则是影响肝切除的最主要因素。
肝癌虽然是“癌中之王”,但绝非不治之症,大肝癌也并非一定是晚期,患者和医生都不能轻易放弃.一定要积极治疗。大肝癌的治疗是以手术为中心的多阶段综合治疗。随着外科手术切除技术水平的提高、新技术的应用以及治疗观念上的更新, 大大改善了大肝癌的手术切除治疗效果, 但与小肝癌相比,大肝癌外科治疗的疗效有待提高, 围手术期死亡率、术后并发症发生率仍有待下降。

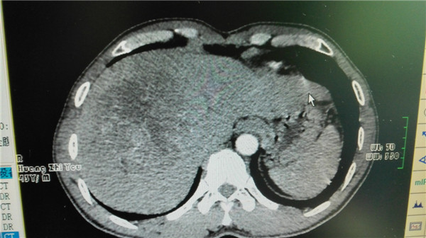
术前肿瘤CT

术后复查CT