发布时间:2015-02-12来源:作者:杨杰审核:覃超点击: 次
46岁的韦女士可是被反复发作的胆结石折腾得够呛。
胆结石反复发作 五年取石十一次
2010年,家住宜州的韦女士突发胃痛,“痛了两天两夜,吃什么药都没效果。”被送往当地医院后,医生告知胃痛是由胆结石引发的,随之进行胆囊切除及胆管切开取石术,3年多来曾做过3次胆道手术。
韦女士没想到,这顽固的胆结石竟然阴魂不散地折磨了她五年。
“我回家之后,还是经常感觉胃痛,整个人也开始慢慢发黄,但是不想再开刀手术了,就一直吃药控制疼痛。”
2014年10月,韦女士发烧了十几天,尝试多种治疗方法都不能降温,“什么物理疗法、中医西医全部都用遍了,发烧还是没有缓解。”住院治疗过程中医生告知是“肝内胆管结石,并发肝脓肿”。根据医生建议,2014年11月韦女士来到广西中医药大学附属瑞康医院进行胆总管切开取石术。
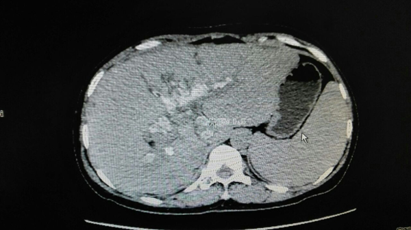
肝胆腺体外科韦杨年主任对韦女士的病情记忆犹新:“打开胆总管后,发现里面密密麻麻布满了结石。”由于结石太多无法一次取完,肝胆外科的医生们为韦女士设置了T管引流方便下一步取肝内胆管的结石。
2015年1月27日,韦女士如约来到肝胆外科,这一次,肝胆外科多名医生专门为她取肝内胆管结石。1月29日第一次、2月2日第二次、2月3日第三次……一直到2月11日,持续两周时间,共取九次,韦女士的肝内胆管结石总算是全部清除完了。
韦杨年主任表示,此次手术后,韦女士只要做好术后预防,胆结石复发率大大降低。“去年复发是因为2010年结石没有取干净,导致胆管狭窄,结石再次产生。”
田间劳作染蛔虫 虫卵沉积成结石
那么韦女士最初的胆结石是由什么引发的?
“与欧美国家高脂饮食引发结石不同,我国的胆结石多是由蛔虫感染引起的。”韦主任介绍,这种大量多发的胆结石患者在广西农村地区比较多见。“由于村民务农经常接触粪肥,沾染蛔虫卵,没有做好手部清洁,不注意饮食卫生,容易将蛔虫卵吞入消化道,成虫后蛔虫逆流入胆管产卵或死亡,就形成胆石核心。”
所以肝结石术后治疗预防很重要,包括注意日常手卫生,定期打虫,按时吃早餐都是不能懈怠的健康生活习惯。
“有些病人以为肚子里有结石对日常生活没多大影响,久拖不治,实际上是很危险的。中末期胆道结石易引发肝硬化,韦女士身体慢慢发黄就是肝硬化的表现,严重的甚至会恶化为胆管癌,其预后极差。”
患上胆结石有一些明显的身体表现,如右上腹痛,黄疸、发烧等症状,当出现这些情况时,韦主任推荐一种便宜、无创、方便的筛查方法:B超检查,可以初步有效查出是否患上胆结石。

手术前胆囊中充满结石

手术后胆总管下端无结石

手术过程中