欢迎访问广西中医药大学第二附属医院官方网站

设为首页 收藏网站

裹中参西,厚德精医

新闻中心

您的位置: 首页>新闻中心>医疗技术

男子二十余年不患病 一病便是巨大肝癌——我院第二例二步肝癌切除术(ALPPS术)成功完成

发布时间:2015-02-16来源:作者:黄桂勋 韦杨年审核:本站原创点击:

分享到:
    “突然接到电话说我哥住院了,觉得非常不可思议!”十多天后,粱先生的小弟还对哥哥突然生病一事很疑惑。
    因二十几年没有生过病,突然就住院了,50岁的梁先生自己也是百思不得其解。
 
    二十余年从不生病的他突然腹痛不止
    南宁人梁先生一家五人都是酒店送菜工人,他们每天凌晨2点准时出发为各个酒店送菜,一直到上午8点多才收工回家补觉。
    从1992年干起这个行当开始,梁先生便风雨无阻,“二十几年来没间断过,从来没生过病,连小感冒都没有过,仗着自己身体好,不管风吹下雨也没有用过雨衣打过伞”。
    1月26日上午10点,送完最后一家酒店的菜,梁先生刚回到家躺下不久,突然右上腹部疼痛不止,站都站不起来。梁先生马上出门打车来到我院急诊科,急诊科经过检查判断后立刻把梁先生送到肝胆腺体外科进一步检查治疗。
 
    规范化病例治疗及管理 成功完成巨大肝癌切除
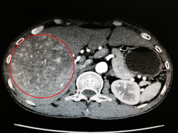
    住进医院后,肝胆腺体外科张洪昌主治医师马上为梁先生完善了各项相关检查,检查结果显示,梁先生肝多发囊肿、肝右叶“住”着一个巨大肝肿瘤,直径大约160mm!
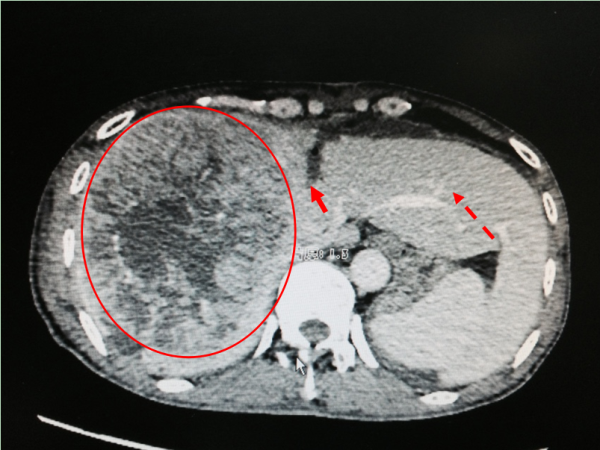
    在得到梁先生同意后,肝胆腺体外科韦杨年主任及其团队一起,对他的特殊病情做了各项评估,并认真规划,最终决定采用二步法肝癌切除术(ALPPS术),分二次进行手术:通过第一步联合门静脉右支结扎及左右半肝离断术,阻断了右半肝的门静脉供血,使左肝门静脉血流增多,短期内左半肝增生,得到足够代偿,达到手术切除肝癌后剩余肝体积达到要求后,进行第二步手术——行右半肝切除(ALPPS第二步),从而使梁先生的巨大肝癌顺利切除。
    韦杨年主任介绍,由于梁先生的肿瘤巨大,空间极其有限,只能从肝前入路切除,手术难度极大。近年来我院对巨大肝癌切除病例已进入临床路径进行规范管理,术前充分地评估、良好的手术规划、精准的手术操作、科学的术后管理,严格按照精准肝切除围手术期四步管理要求进行。规范科学化管理能患者获得最小的创伤、更快的恢复、更好的疗效。
    1月30日,梁先生被推进手术室,顺利进行右肝门静脉右支结扎,左右半肝离断及胆囊切除术。术后第7天检查显示左半肝增生足够,二期手术条件都满足。
    2月9日,九天的恢复期后,梁先生再次被推进手术室,这一次为他做的是肝右叶肿瘤切除手术,经过三个半小时的手术,成功从梁先生肝脏切下了大小114mm*132mm*145mm巨大肝肿瘤,梁先生的手术获得成功!
    韦主任表示,“目前术后第四天,患者手术预后好,病人肝功能手术前后变化不大,AFP指标明显下降,春节前就可以出院”。
    “手术第二天就想吃东西,没有想象中痛,能回去过年最好了!”在得知春节前就可以出院回家过年后,梁先生露出了久违的笑容。
 
    广西肝癌高发 医生建议定期体检
    广西每年新增肝癌病人约为1.4万,但由于医疗资源的限制,广西仅有约1/3的肝癌患者能得到手术治疗。世界卫生组织WHO指出,在所有癌症中,有三分之一是完全可以预防的;另外三分之一则可以通过早期检测、早发现、早治疗而达到治愈的效果;最后三分之一,也可以通过及时发现疾病、积极进行治疗而延长病人的生命。
    韦杨年主任介绍,仅半个月内就做了5台类似的大肝癌手术(包括一期手术及二步法切除手术)。肝癌并非一日就能形成,慢性病毒性肝病、肝硬化、水源污染、基因突变及长期大量饮酒、食用霉变、腌制、煎炸、熏烤、变质的食物等都有可能引起肝癌,而在广西地区主要因素为霉变食物及病毒性肝炎所致。预防癌症除了要养成良好的生活习惯、把好饮食关之外,还要养成定期体检的习惯,如每年体检一次或二次。
手术前CT图:红圈为肝肿瘤
ALPPS第一步(门静脉结扎及左右半肝的离断)手术后CT图:红圈为肝肿瘤;实心箭头为左右半肝离断处;虚线箭头为增生左肝叶。

以案促改

清廉医院

纪检举报

预约挂号

门诊流程

医保指南

健康体检

联系我们

返回顶部