发布时间:2015-03-19来源:作者:黄桂勋审核:覃超点击: 次
2015年3月9日,进行右侧丘脑肿瘤治疗四个月后的刘女士在丈夫、女儿的陪同下回到瑞康医院神经外科复查,结果显示目前刘女士没有任何神经功能障碍,核磁共振结果也非常乐观——右侧丘脑肿瘤明显缩小,可带瘤生存。这样的结果对刘女士及家人是莫大的庆幸,也是对神经外科医务人员技术的一个极大肯定。
2014年3月,44岁的刘女士突发脑出血,除头痛、呕吐不止外,还伴有意识不清,这可吓坏了家人,赶紧把她从县城送到区内某大医院,核磁共振检查结果是她患上了右侧丘脑肿瘤并出血,由于丘脑部位的肿瘤手术的风险大,术后的并发症多,出现偏瘫的可能性极大,因此医生不建议行手术治疗,同时,刘女士本人也由于担心手术的风险及并发症不同意手术,经在该院治疗了一段时间后血肿吸收,稍感好转后,刘女士办了出院手续,住院期间未对脑部的肿瘤进行特殊处理。
岂料,过了7个多月,11月4日刘女士再次出现头晕、头痛、频繁的呕吐,意识模糊,家人急送往县人民医院就诊,急查头颅CT提示:右侧丘脑肿瘤增大并出现急性的脑积水,急诊做了侧脑室外引流手术后,刘女士的呕吐、头痛有所好转,但意识仍处于模糊状态,家属考虑到病情的严重性后,毅然把刘女士转来我院做进一步治疗。
刘女士在当地医院进行的侧脑室外引流术,仅仅是急诊临时的解决脑积水缓解之计,是治标不治本的一种手段。11月5日刘女士紧急转入我院时仍处于模糊状态,神经外科紧急为她完善相关检查,由于刘女士的脑肿瘤位于丘脑部位,而丘脑功能仅次于脑干,手术难度大,并发症多,之前做的侧脑室外引流术虽然使刘女士的病情得到了暂时的好转,但由于引流管不能长期留置,留置时间长极易发生颅内感染,因此必须尽快进行手术。
经过会诊讨论后,为达到最后最好的治疗效果,神经外科黄进能副主任医师综合权衡考虑了刘女士的病情,制定了详细的治疗方案。由于刘女士病情的特殊性,决定将治疗分两步,第一步先做侧脑室-腹腔分流术,解决脑积水颅内高压问题,第二步做射波刀治疗,解决丘脑肿瘤病变,提高生活质量,达到带瘤生存的目的。
入院第2天,经病人家属签字同意,刘女士被迅速推进手术室进行侧脑室-腹腔分流术,经过黄进能副主任医师等人约2小时的手术,刘女士顺利安返病房。
经行侧脑室-腹腔分流术后刘女士逐渐意识清醒,经过10天恢复之后,刘女士于11月17日开始了4次射波刀治疗之路,每一次治疗都很顺利,每一次她的病情都有进一步的好转,“看到了康复的希望”刘女士及其丈夫有了更大的信心,在出院时,刘女士神志清醒、没有头痛、恶心、呕吐等症状。
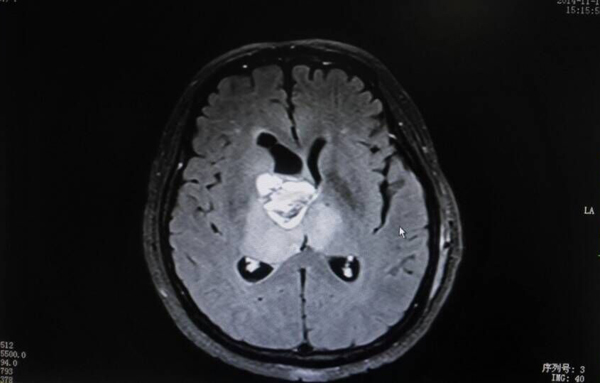
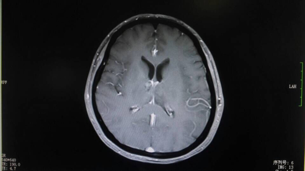
经过侧脑室-腹腔分流术和四次射波刀治疗后,刘女士复查的头颅MRI显示:丘脑肿瘤的大小从33mm×30mm缩小到5mm×3mm,这不,3月9日家人陪刘女士来复查时,她根本就不需要人扶,精神气色都很好,刘女士及其丈夫看到复查的结果后非常高兴,用他们夫妻的原话说就是:“病后的这一年里从没有哪天像今天那样的高兴!”
黄进能副主任医师介绍,虽然经过治疗后病情明显好转,生活质量得到了大大地提高,根据刘女士目前的情况判断,仍然需要密切的随访及追踪,建议此类患者在术后定期随访时要配合医生,最好能够观察自己的病情和症状并记录。

治疗前刘女士的肿瘤为33mm×30mm

治疗后刘女士的肿瘤缩小到5mm×3mm

刘女士和丈夫感谢黄进能副主任医师