发布时间:2015-12-28来源:作者:神经内科审核:覃华芳点击: 次
脑血管病是神经内科的第一大类疾病,具有高发病率、高致残率及高复发率的特点。在具有卒中高危因素的患者中提前发现血管病变而进行干预,是有效预防卒中发生的前提。数字减影全脑血管造影作为诊断脑血管病的金标准,在众多的检查手段中起着度量衡的作用。
目前常规的经股动脉入路全脑血管造影存在一定的不足:1.一定的并发症(穿刺部位血肿、假性动脉瘤、动-静脉瘘等);2.术后需卧床数小时会导致患者进食、上厕所等不便,此外对于下肢静脉存在血栓的患者则会加重血栓形成;3.经股动脉入路行造影需对腹股沟区进行备皮,对于女性患者多为不便。
一种较舒适的方法孕育而生——经桡动脉入路行全脑血管造影
心脏病学专家很早就开始尝试从桡动脉穿刺行心脏冠状动脉造影、及动脉狭窄的支架植入治疗,经桡动脉的可行性及方便性也已被很多研究所证实。目前国内许多大的介入中心都在尝试经桡动脉入路全脑血管造影。临床应用中发现其优势明显,但也存在一定的不足。1.桡动脉较股动脉细小存在穿刺困难、置动脉鞘过程中容易发生桡动脉痉挛,影响操作的进行;2.没有专门的经桡动脉入路行全脑血管造影用导管,现有导管存在操控困难及对左侧椎动脉超选择性插管成功率低的不足。
经桡动脉全脑血管造影

现有全脑血管造影导管从桡动脉入路有缺陷吗?
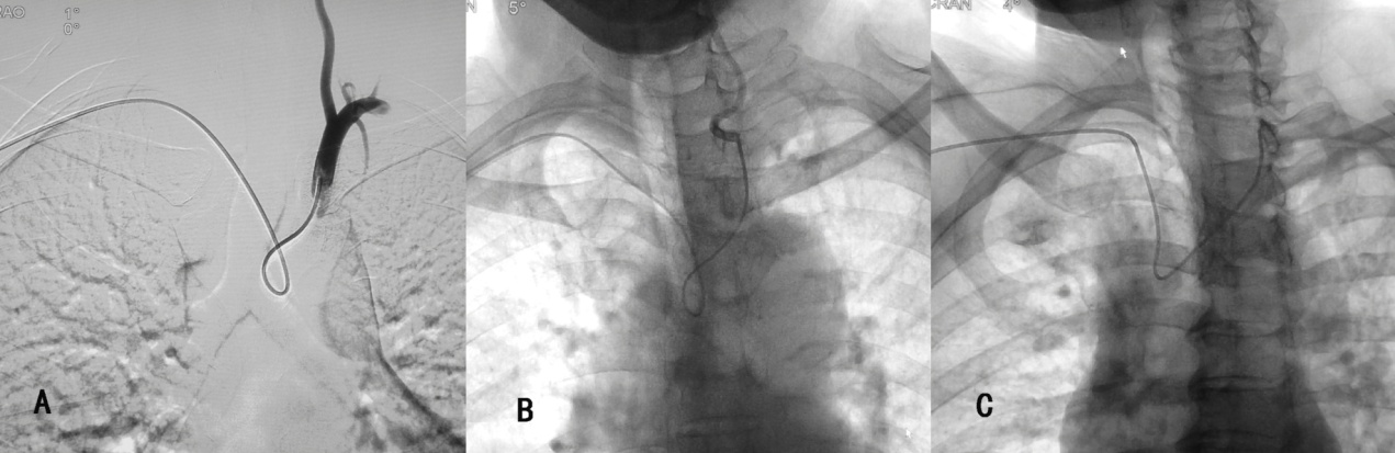
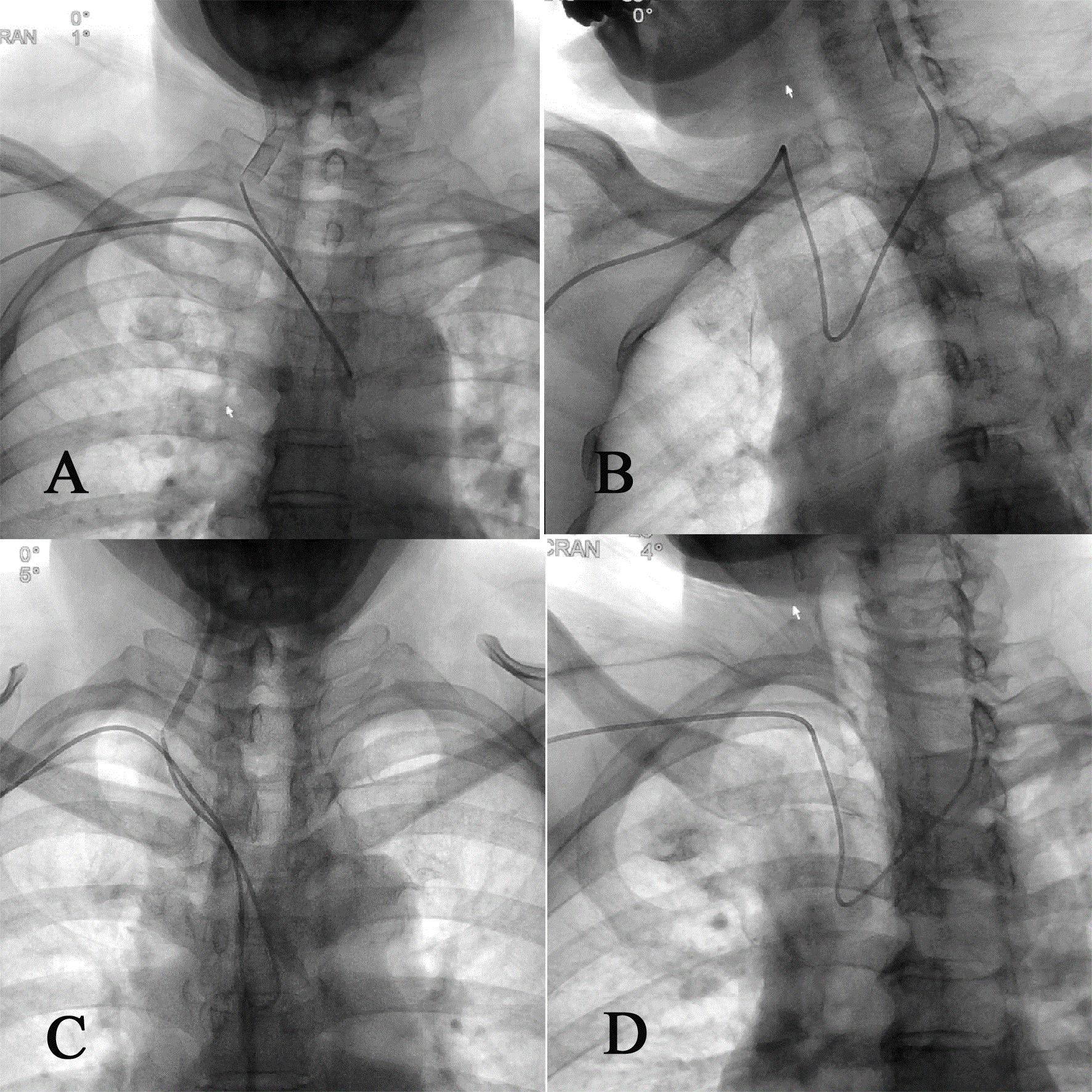
目前经桡动脉全脑血管造影通常选用的导管为西蒙造影导管,依据导管外形尺寸的大小分为三种型号,其中II-III型管均可被用于经桡动脉全脑血管造影(图4 A、B)。 西蒙造影导管的形状是按照经股动脉入路设计的,第一个弯在导管远端越过主动脉弓后可骑跨在主动脉弓上作为支点,而第二个弯曲则引导导管头端向上翘起,可选择性的进入无名动脉、左颈总动脉或左锁骨下动脉其中的任何一支血管(图3A)。 但是,在经桡动脉入路时,导管的第一弯曲无法骑跨在主动脉弓上,导管的第二弯曲引导的导管末端方向向下,这与脑主要血管的开口方向相反(图3B)。

因此, 需使用西蒙管的反勾技术(使导管扭曲呈“8”字形而不是导管原塑性的形状,使得导管末端的方向朝上)才能实现血管的超选(图5),这造成导管的操作困难

理想的导管应该是拥有合适的外形,在操作时能简化操作步骤;具有恰当的尺寸,在狭小的空间内游刃有余。 (图C)
如能设计一种专门针对从桡动脉入路可简单、快捷行脑血管造影用的导管则可有效的解决这一难题。

而研发新型导管可有效的解决这一难题
新型导管在临床使用中的表现

改良导管分别对左、右侧颈总动脉及左、右侧椎动脉的超选示意图。
我神经内科学科带头人罗宁博士已研发出新型经桡动脉全脑血管造影导管并获得国家专利,临床使用中取得很好的效果,该专利已与国内知名公司取得合作协议,很快将在临床进行推广。
