欢迎访问广西中医药大学第二附属医院官方网站

设为首页 收藏网站

裹中参西,厚德精医

新闻中心

您的位置: 首页>新闻中心>医疗技术

从脑囊虫病说起谈“米猪肉“的危害

发布时间:2016-04-27来源:作者:韦安静审核:覃华芳点击:

分享到:
    “米猪肉”即含有猪肉绦虫囊尾蚴的病猪肉。人如食用了未经煮熟的米猪肉,囊虫的幼虫随血液流经脑血管,定植在脑内,不断地生长发育,就有患脑囊虫病的可能。
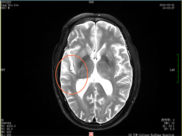
    今年58岁唐先生,因多年前误食“米猪肉”,在四年前被确诊为“脑囊虫病”、“症状性癫痫”。行驱虫、抗癫痫治疗后病情好转,之后癫痫没有再发。但在2016年3月初,在无明显诱因的情况下,唐先生出现头晕,伴四肢乏力,为求进一步诊治来到瑞康医院脑病科住院治疗。经检查,在唐先生的MRI增强检查中发现颅内有炎性亮点,进一步血清检查证实为脑囊虫病,经针对病情治疗后得到控制,病灶逐渐消失,症状也得到了明显的改善。
    据瑞康医院脑病科蒋媛静医生介绍, 80%的脑囊虫病患者都有食用米猪肉或被肉绦虫节片污染食物的病史,猪肉绦虫经肠道静脉通过血液循环进入脑内 “安家”,堵塞循环通路,压迫神经,引起一系列严重症状,威胁患者的健康和生命。如经常犯头痛病的人要提高警惕,要尽快到医院查清原因,发现患上脑囊虫病应尽快就诊,90%以上的脑囊虫病是可以彻底治愈的,也不会留下任何神经功能的废损症状。有过脑囊虫病史的患者,即使当时治愈,过后也要定期复查。她强调,脑囊虫病是可防可治的,忌吃生肉或半生不熟的“米猪肉”,讲究饮食卫生与个人卫生,把好病从口入关,是预防本病的关键。
    蒋媛静医生提醒,囊虫病的防治主要是不吃生菜、生肉,饭前便后要洗手,以防误食虫卵。另外,应从正规渠道购入肉制品,切不可买路边摊上未经过检验检疫的猪肉食用,也应避免进食欠熟肉食品,烹制肉制品宜保证煮烂煮透。另外,猪肉最好在零下12至13摄氏度的温度中冷冻12小时后食用,这样可以把囊尾蚴全部杀死。如果一旦发病要入院治疗。养成良好的卫生习惯,不可随地大便,蛔虫病的传播途径为蛔虫排出的虫卵随大便排出体外,继而污染周围环境,又可污染蔬菜瓜果等,一旦吞食即可感染。一定要做到饭前便后洗手,勤剪甲,尤其是儿童,不要吮吸指头。 
 
 
 
治疗前
 
 
治疗后

以案促改

清廉医院

纪检举报

预约挂号

门诊流程

医保指南

健康体检

联系我们

返回顶部