发布时间:2017-08-04来源:作者:审核:覃华芳点击: 次

家住崇左大新县的市民陆阿姨今年53岁了,近3年来一直被右肩部疼痛困扰,胳膊抬不起来,夜间睡觉经常被痛醒,不能侧卧,甚至连微微活动疼痛感都很剧烈。3年来,她先后到了很多医院寻求治疗,都被当成“肩周炎”治疗,吃过西药、中药,做过理疗、推拿、针灸、拔罐等,也听从医生的指导进行爬墙、吊环等活动,仍不见好转,甚至每次活动后病情都会加重。
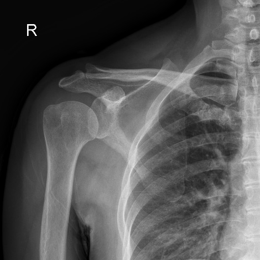
陆阿姨于今年7月来到广西中医药大学附属瑞康医院关节与运动医学科门诊就医,经过医生的详细检查,拍X光片后发现右肩部肩袖区有明显的钙化灶,才知道自己得的是“右肩关节钙化性肌腱炎”,陆阿姨在震惊之余也看到了希望,关节与运动医学科李书振主任认真细致地跟她分析了病情及解决方案,由于长时间的求医路和肩部疼痛难忍影响到了正常生活,陆阿姨马上住进了瑞康医院关节与运动医学科,并接受了“经肩关节镜微创手术”治疗,手术中从陆阿姨的肩膀里竟然挤出了许多白色的牙膏样物质,这就是已经钙化的肌腱组织。手术当晚陆阿姨的右肩疼痛明显减轻,3年来终于可以睡个好觉了,现在陆阿姨的肩部病痛已经彻底解决,已经恢复了正常生活。

术前X光片显示肩袖区钙化灶

术后X光片显示钙化灶已消失

术中挤出牙膏样物质
随着骨科诊疗技术的发展,研究发现引起肩关节疼痛的疾病很多,包括肩袖损伤、肩峰撞击症、喙突撞击症、肩粘连性关节囊炎(冻结肩)、SLAP损伤、肩关节不稳、腱病、钙化性冈上肌腱炎、肩锁关节病、肩骨关节炎、胸廓出口综合征等。
在我国,老百姓有了肩部疼痛和肩部活动受限就自认为患了“肩周炎”,甚至部分医生也常常用“肩周炎”笼统地诊断肩部病痛。像陆阿姨这样因肩痛被误诊为“肩周炎”,误治导致病情恶化影响最佳治疗时机的现象非常普遍。
鉴于此,广西中医药大学附属瑞康医院从2014年开始举办“肩痛学校”,关节与与运动医学科周四下午开设“肩痛门诊”,目的为给肩痛患者普及肩关节疼痛科普知识,告诉患者正确的防治方法,防止误诊误治。本期“肩痛学校”讲座内容:1.怎样正确的认识“肩周炎”;2.肩关节疾病的最新治疗方法;3.肩痛患者如何正确的进行功能锻炼。
时间:2017年8月12日上午8:30-12:00。
地点:广西南宁市华东路10号瑞康医院B座急诊外科住院综合大楼23楼学术厅。
报名及咨询电话:15994460434(丰医生)
现场报名及咨询:瑞康医院A座门诊内科住院综合大楼3楼关节与运动医学科门诊,瑞康医院B座急诊外科住院综合大楼16楼关节与运动医学科病房。
本次活动不收取任何费用,活动免费发放肩痛康复科普手册及光盘,免费提供康复理疗药物,讲座结束后还有现场义诊及答疑活动。欢迎基层医生、肩痛患者、患者家属及各位市民前来参加。