发布时间:2022-02-23来源:广西中医药大学附属瑞康医院作者:曾文彬 张涛审核:覃华芳点击: 次
春暖花开,对炎症性肠病(IBD)患者来说,希望也已在来的路上。从2022年1月1日起新型生物制剂乌司奴单抗正式纳入医保报销,广西中医药大学附属瑞康医院第一时间为患者开出首张享受医保报销的处方,对患者来说这意味着在治疗效果好的同时,治疗费用将大幅减少,治疗方式也更加便捷,患者又看到了幸福生活的希望。
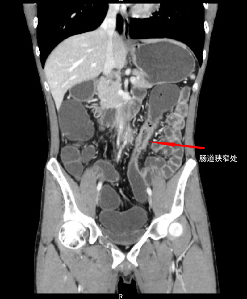
南宁的叶先生(化名),今年29岁,确诊克罗恩病(CD)已长达10年。10年前叶先生在无明显诱因的情况下出现腹泻,伴黏液脓血便,在我院确诊“克罗恩病”,曾多次在我院住院治疗。症状反复,后在2013年2月20日因“克罗恩病并回肠梗阻、穿孔”在我院进行“右半结肠切除术”,术后长期服用美沙拉嗪抗炎治疗,期间还反复住院,给生活带来诸多不便。窘境直到2019年6月使用硫唑嘌呤治疗后有所缓解。可好景不长,今年除夕,病人再次因为腹痛发热入院,病人做完小肠CTE及盆腔核磁共振及肠镜检查后,专家考虑可能是克罗恩病术后复发,腹膜肠瘘。经进一步诊断,患者克罗恩病再次复发了。
广西中医药大学附属瑞康医院消化二区张涛主任迅速做出控制原发病、抗感染和使用肠内营养的治疗方案。由于患者克罗恩病合并狭窄、肠瘘的复杂病情和倾向保守治疗的个人意愿,加上乌司奴单抗已正式纳入医保报销,因此张涛主任建议选择疗效较好、安全便捷的乌司奴单抗控制原发病。
广西中医药大学附属瑞康医院张涛主任介绍:“乌司奴单抗进入新版医保药品目录可以让医生减少一些费用的顾虑,灵活为患者选择最适合的生物制剂,制定最佳个体治疗方案,对疾病预后和病程管理都很重要。”乌司奴单抗作为一种新型生物制剂,是全球首个靶向白介素通路的生物制剂,是采用转基因技术生产的全人源单克隆抗体。正是工艺和机制上的创新,使乌司奴单抗的疗效更佳,安全性更高。更重要的是,乌司奴单抗产生抗药抗体的比例更低,从而减少患者因继发性失应答而需要换药的风险,能够实现长期维持疗效,让患者长久获益。乌司奴单抗的优势还在于皮下注射的有效性、便捷性和降价后的药物经济性,更容易获得IBD患者的信任和青睐。
随着生物制剂的广泛使用,对IBD的治疗提出了更高的要求,除了症状缓解,内镜下黏膜愈合甚至组织学愈合将逐步成为更高的标准。我们相信,随着科技的创新和医疗技术的进步,目前我们无法解决的医学难题终将被破解。

患者肠镜

影像学中可以看到结肠狭窄、肠瘘