发布时间:2022-04-27来源:广西中医药大学附属瑞康医院作者:张涛 曾文彬(消化内科二区)审核:覃华芳韦安静点击: 次
今年4月初,家住南宁市的王叔,觉得自己吃东西的时候,胸骨后疼,吞口水也痛,甚至吃一些硬的东西都觉得吞咽困难,王叔当时也没细想,以为自己是上火了,就去隔壁凉茶铺买了雷公根水喝。但是,喝了几天后症状不仅不缓解,反而逐渐加重。王叔赶紧上网查了一下,一搜一看,立马吓坏了,因为搜索的结果告诉他,最大的可能是食道癌!王叔赶紧来到我院消化内科门诊,找到消化内科二区主任张涛教授就诊。
张涛教授接诊后,通过从王叔的主诉,再结合他的症状,第一感觉也认为有点像“食道癌”,建议他住院接受详细检查,入院后第一时间给他做了无痛胃镜检查。检查结果显示,在距门齿27-33cm处,能看见一处黏膜缺损,周围黏膜堤坝样隆起,底批厚苔,单纯从镜下表现看就像是食道癌!

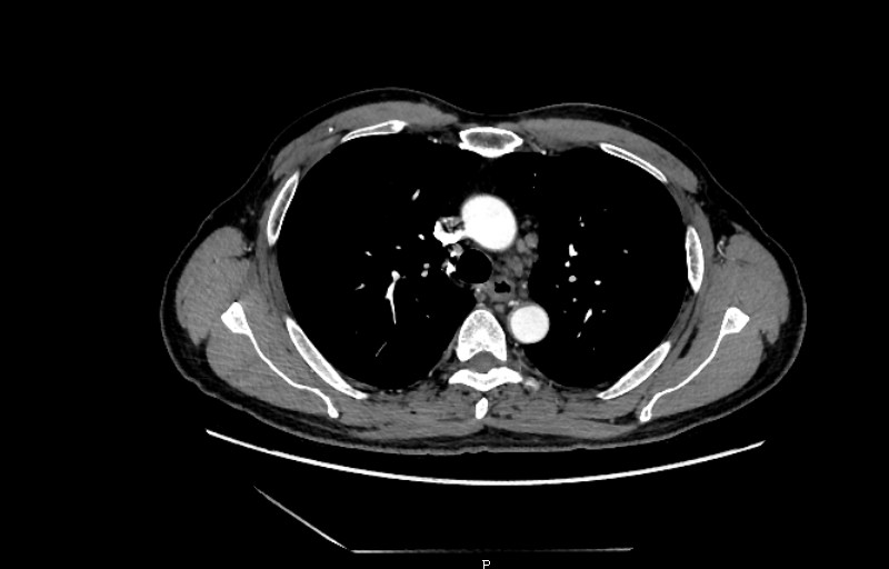
为稳妥起见,张涛教授给他做了6处活检,同时安排做了胸部+腹部ct平扫及增强,初步结果提示:1、食管管壁增厚,食管癌并纵隔及右肺门淋巴结转移?请结合内镜检查及临床资料;2、两肺散在结节,炎性结节?转移?请密切随诊;3、右肺第6肋骨腋段高密度影,骨岛?其他?4、肝S8段囊肿;5、右肾复杂性囊肿;6、前列腺增生。

一般来说,拿到这个结果,此时无论是患者还是医生,都觉得应该是食道癌了。但王叔今年59岁,还没能颐养天年,就患上了恶性肿瘤的话就太遗憾了。此时,张涛指出,单纯影像学、内镜下图谱都无法最终确诊,必须等待病理的证实。此时,医护团队都怀着忐忑的心情等待结果。三天之后,病理结果终于出来了,提示病理结果:(食管粘膜)黏膜慢性活动性炎伴溃疡形成,局灶见肉芽肿改变。送检组织见较多炎性坏死物及增生的肉芽组织,特殊染色未查见明确真菌及抗酸阳性细菌感染,未见肿瘤成分。请结合临床,必要时可考虑微生物分子检测,除外特殊感染可能。特殊染色结果:PAS(-),抗酸染色(-)。

王叔看到这个结果就问:“张主任,这是什么意思啊?”张主任回答:“这是好消息啊,初步排除食道癌!”
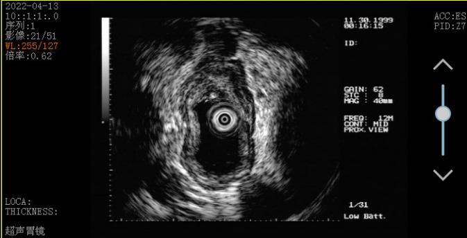
那王叔到底得了什么病差点被认为是癌症?难道这只是普通的溃疡吗?此时张涛提议,“王叔,咱们再做个超声胃镜吧”。超声胃镜可以看到普通胃镜看不到的层面,很快王叔接受了进一步超声胃镜检查,并再次活检。超声胃镜提示1.食管溃疡性质待查(结核?Ca?待病理);2.反流性食管炎(A级);3.慢性非萎缩性胃炎伴糜烂 。


病理结果再次提示炎症改变,可见肉芽肿形成。这下大家都庆幸王叔至少算是捡回一条命了,但是到底是什么病还是不清楚,下一步又该怎么走呢?王叔说:“张主任,我就靠你啦!”面对患者的信任,科室针对这个病例组织了科内大会诊。
近年来,随着上消化道内镜的普及,其实食道溃疡的检出率也越来越高,其病因繁多,临床表现缺乏特异性,误诊率高,常难以确诊。一般来说,食管溃疡分为五类。第一类是常见的良性溃疡,比如我们常说的消化性溃疡,反流性食管炎之类的疾病,占到40%-50%,还有不少由于插胃管的机械损伤、误食强酸、强碱、以及吃一些止痛药(如阿司匹林、布洛芬等)引起的溃疡。第二大类是感染性溃疡,比如病毒感染,其中包括HIV感染、巨细胞病毒感染,细菌及真菌感染,以及特殊感染结核等。第三大类是恶性肿瘤,恶性肿瘤不止食道癌,还有淋巴瘤、多发性骨髓瘤、原发性食管黏膜相关淋巴组织淋巴瘤等。第四大类是结缔组织相关疾病,比如变应性血管炎、白塞病(往往合并有口、眼、生殖器的溃疡)、系统性硬化症、以及必须谨慎对待的克罗恩病等。最后一大类就是特发性溃疡,也就是目前原因尚未明确的食道溃疡。
张涛根据患者所有的检查结果,逐一排除食道癌、克罗恩病、病毒及真菌感染,指出结核是不能排除的,建议患者完善结核相关检查(OT实验、结核抗体及TB-SPOT等)。



不久,王叔的检查结果出来——阳性。以排除法诊断入手,初步考虑患者为原发性食道结核,王叔终于被确诊了。这种病临床较少见,仅占胃肠道结核的0.3%,其表现为吞咽困难、吞咽疼痛以及胸骨后疼痛,同时可能伴随全身症状,如发热、消瘦、厌食等。食管结核又分为原发性食道结核和继发性食道结核。其中原发性食道结核往往不伴有食道以外的病变,而且食管病变中难以分离结核杆菌及发现典型肉芽肿改变,结核感染性食管溃疡的确诊常较困难。继发性结核则多继发于纵隔、肺门淋巴结和肺结核,病变波及食管外膜,沿淋巴逆流至食管黏膜下层。
由此,科室团队确定了王叔的下一步治疗方案,诊断性抗痨三个月后,再进一步评估疗效。
小贴士:中国属于结核高发地区,临床上发现不明原因消化道溃疡,无论食道、小肠、大肠、或胃的溃疡,有时都应该考虑到结核的可能,我院也曾发现胃结核、多例肠结核,容易出现误诊,误治。广西中医药大学附属瑞康医院在学科带头人、全国中医临床优秀临床人才、博士研究生导师张涛教授带领下,传承祖国医学精华,与时俱进,中西协作,造福患者,提高诊断率,及治愈率,是您最佳的选择。