发布时间:2022-09-07来源:广西中医药大学附属瑞康医院作者:梁栋(脊柱外科)审核:覃华芳 韦安静点击: 次
颈椎病是一种常见的疾病,主要表现为颈肩部疼痛、酸胀、僵硬、活动不畅。在大多数普通老百姓眼中,颈椎病就与颈肩部有关,但临床数据表明:一些表面上看起来是内科引起的问题,其实跟颈椎有很大的关系。
也就是说,广义上的颈椎病其实包含着很多方面的症状,并不局限于颈椎。看似简单的它,实际上却是一种很擅长“伪装”的疾病。今天,我们将通过两个病例来揭开颈椎病的“伪装面具”。
病例1
33岁的陈先生是一名办公室白领,去年一月份下肢突然出现乏力,陈先生以为是工作太累,并没有太在意。但随着时间的推移,陈先生的下肢越来越虚弱,走路也越来越不稳,就像是踩在棉花上一样。
今年七月份,陈先生病情加重,不敢下地走路,家人见状陪陈先生来到广西中医药大学附属瑞康医院脊柱外科就医。“没有明显的颈部疼痛和上肢麻痛症状表现,两条腿乏力行走时不稳,很害怕摔倒,而且触摸右下肢的皮肤感觉,对比左侧有明显减弱。在当地医院检查头颅核磁共振没有见明显异常,服用药物后也未见好转”,陈先生说道。
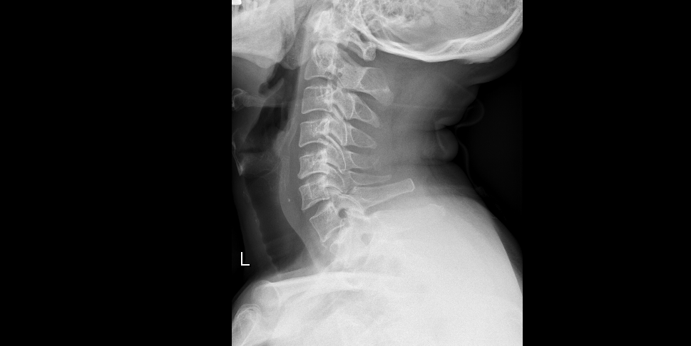
“经过颈椎磁共振检查,发现你的颈5/6椎间盘髓核突出压迫脊髓,并伴有椎管狭窄”,接诊的刘汝专主任说道。结合症状、体格检查和影像学检查,排除了颅脑问题后诊断陈先生为脊髓型颈椎病引起的下肢乏力和步态不稳。经科室讨论,刘汝专团队决定采用“颈椎前路颈5/6椎间盘切除+Cage植骨融合内固定术”治疗陈先生。
“这类手术方法在颈椎手术中属于比较经典的颈椎微创手术,它能够对颈椎间盘髓核突出压迫脊髓进行直接摘除减压,同时也可以通过椎间融合器植入恢复一定的颈椎生理曲度,而且术口一般长度约为3-4cm,愈合快出血量少”,刘汝专主任告诉陈先生和其家人。术后第一天,陈先生感觉自己的下肢“如释重负”,乏力症状明显改善,走路也比术前稳了很多,术后第七天术口拆线后就出院回家了。
病例2
刘阿姨反复头晕20多年,低头时间长时头晕明显,既往有高血压病,除了头晕症状外,还伴有胸闷心悸、恶心反胃、眼睛酸胀干涩、耳部闷胀、心情烦闷等症状。刘阿姨多次住院治疗,诊查颅脑、心脏、胃部、眼睛、耳部均未发现明显的器质性改变,对症治疗后头晕症状得到控制但仍有不间断的发作。
今年6月,刘阿姨再次出现上述症状,于是在家人陪同下来到广西中医药大学附属瑞康医院脊柱外科就诊,通过行颈椎正侧位和过伸过屈位检查,发现刘阿姨颈椎生理曲度消失,颈椎存在失稳表现。“颈椎X线提示颈椎节段有失稳表现,综合刘阿姨一系列症状和影像学检查,考虑为交感型颈椎病”,接诊刘汝专主任告诉刘阿姨。结合病症,刘汝专主任予以刘阿姨止眩晕、营养神经、中医特色理疗和佩戴颈托固定,指导颈椎功能锻炼等处理后,刘阿姨一系列的症状得到明显的改善。
颈椎病的三个主要发病学说
颈椎病的定义:颈椎间盘组织退行性变及其继发病理改变累及其周围组织结构,如神经根、脊髓、椎动脉、交感神经等进而出现相应临床表现。颈椎病的发病一般认为是多种因素共同作用的结果,颈椎间盘的退行性改变及其椎间关节退变是发病基础。目前临床研究中主要有3个发病学说:
1、机械压迫学说
一般从30岁开始,颈椎间盘开始出现退化,其中的纤维环弹力纤维含量逐渐减少,胶原纤维含量逐渐增多,髓核水分逐渐减少,导致椎间盘负荷能力下降,从而导致椎间隙变小,髓核突出压迫后方的脊髓和神经根。同时椎间隙变小后椎间关节周围韧带松弛,椎体间活动度增加,椎体后缘韧带附着部出现牵拉性骨刺增生,压迫脊髓神经。
另外,颈椎屈曲活动时脊髓被拉长,横截面积变小,突出的髓核和增生的骨刺也会进一步向后压迫脊髓神经。
2、不稳定学说
颈椎不稳定是引起颈椎病的重要原因之一。当颈椎椎间高度降低时,椎间关节失稳容易导致颈椎过度屈伸活动,从而刺激到关节、纤维环及周围韧带内的交感神经末梢,后通过反射性引起脊髓和神经根周围血管痉挛,导致局部缺血性改变。长期反复的颈椎失稳刺激,容易出现脊髓神经病变和引起颈椎交感神经系统的功能紊乱。
3、血运障碍学说
脊髓供血主要来源于椎动脉和节段血管。在脊髓前、后部主要动脉分支为前、后动脉。当突出的椎间盘髓核和增生骨刺压迫脊髓前面时,会使脊髓前动脉受到压迫和扭曲,尤其是当颈椎屈曲时,脊髓张力增大,腹侧和背侧受到的压力就越大,对脊髓的血供产生较大影响,从而减少了脊髓和神经根的供血,最终导致神经产生缺血性病变坏死。
颈椎病的临床表现与分型
颈椎病的临床常见主要有神经根型、脊髓型、交感性三种。
1、神经根型颈椎病是一种常见的,发病率也比较高,约占60-70%,主要是由于突出的椎间盘髓核压迫颈神经根导致。患者早期常有颈肩部及肩胛骨内侧疼痛,进而逐渐发展到上肢的放射性疼痛和麻木。这种疼痛和麻木沿着受累的神经根的走行和支配区域放射,颈部活动、咳嗽、打喷嚏等会加重症状。在病程后期,会有以下表现:患肢出现沉重、握力减弱;手部肿胀、皮肤苍白和干燥无汗;手指活动困难、肌肉萎缩。
2、脊髓型颈椎病的发病率在12%~30%之间,可导致四肢瘫痪,致残率较高。发病缓慢,主要发生在40-60岁之间,但目前也是呈现年轻化趋势。多数患者首先出现一侧或双侧下肢麻木、乏力、行走困难、下肢肌肉紧绷、抬步缓慢、不能快走等症状。患者常有踩在棉花上感觉,俗称“踩棉花”样感。中期会出现上肢的麻木、疼痛、手无力、不灵活等症状。患者常有一种胸腹部皮带样的捆绑感,俗称“束带感”。有的人会感觉到烧灼感、冰凉感和蚁行感。部分患者出现尿频尿急、尿失禁、尿潴留、大便秘结、性功能减退等表现。晚期患者出现下肢痉挛性瘫痪,生活无自理能力。
3、交感型颈椎病发病症状较多,也是最容易迷惑医生和患者的,通常有以下症状:
(1)头部症状:头晕、头痛、记忆力减退、注意力不集中;
(2)眼部症状:眼睛干涉、眼胀、视物不清;
(3)耳部症状:耳鸣耳堵、听力下降。
(4)胃肠道症状:恶心呕吐、腹胀腹泻、消化不良、嗳气、咽部异物感;
(5)心血管症状:心悸胸闷、心律失常、血压变化;
(6)皮肤症状:面部或肢体多汗、无汗、畏寒或疼痛麻木。
医生提醒:除了以上三种类型外,临床上常见的还有:椎动脉型颈椎病、颈型颈椎病和颈型颈椎病,所以颈椎病并不是只影响颈椎,而是有很多“伪装面具”。根据相关研究,颈椎病可引发的全身症状至少有70种。以上的症状必须通过认真细致地分辨疾病的本质和病因,才能做到精准治疗。同时提醒广大患者朋友,如果出现上述症状,一定要及时到医院检查,切勿盲目大意。

案例一术前

案例一术后