发布时间:2023-03-17来源:广西中医药大学附属瑞康医院作者:谢有科、邓承志审核:覃华芳 韦安静点击: 次
“王大爷,距离您放疗结束过了10个月,目前您状态如何?如方便,下个月记得返回我院进行复查”
“王大爷,经过上次复查后,您的左纵隔病灶及转移淋巴结明显缩小,而且未发现局部复发与远处转移,如您方便建议于2021年2月来我院复查一下”
“想到我已出院4年了,还能得到医院的关心,谢谢你们”
……
这是一段广西中医药大学附属瑞康医院(以下简称“瑞康医院”)医务人员随访出院患者的聊天记录,随访的王大爷于4年前在瑞康医院就医,通过射波刀放疗“拆除”心脏旁的巨型“炸弹”,这段经历他至今仍感到庆幸。
时间回到2019年5月,还是“60后”的王大爷在无明显诱因下出现消瘦,王家人发现后遂同王大爷一起来到当地医院进行检查。“通过胸部CT平扫加增强,提示患者左肺上出现叶纵隔旁占位性病变,初步考虑为‘恶性肿瘤性病变并左肺门及纵隔淋巴结转移’,并伴随心包、胸膜、肺动脉主干及左肺上叶受侵,左侧胸腔、心包还有积液”,当地医院医生跟王家人说道。
为更好地诊断,医生还给王大爷做了病理检查,通过穿刺提示为:左纵隔肿物符合纤维组织内非角化鳞状细胞癌浸润,并出了诊断:左胸腔鳞癌并左肺门、纵隔转移、心包、胸膜、肺动脉主干侵犯 IV期。但要拆除王大爷身体这个“巨大炸弹”却非常棘手,因为它紧邻心脏,当地医生不敢贸然开刀,并建议通过靶向治疗应对。同年8月,王大爷接受半个月的治疗,情况有所好转,正当王家人舒了口气的时候,病魔给了他们当头一棒:王大爷出现咳血丝痰情况。
看到这个情况,王家人一方面联系医院,一方面在网上搜索类似病例,当看到瑞康医院有以往救治成功案例后,同年8月26日来到瑞康医院肿瘤科一区做进一步诊治。通过完善检查,练祖平主任了解王大爷病情变化后,给出了拆除这颗巨型“炸弹”的应对方案:射波刀立体定向放射治疗。
待排除放疗禁忌症及征得王大爷及他的家人同意后,练祖平团队对王大爷给予CT所示胸内病灶射波刀立体定向放射治疗。通过连续5天的治疗,并配合中医中药,王大爷咳血痰症状消失,而且没有明显不适,待符合出院指标后出院进行居家疗养。目前,王大爷精神状况良好,他的左纵隔病灶及转移淋巴结仍持续缩小,并一直在瑞康医院密切随访中。
科普:肺癌是如何扩散的?
当细胞从肿瘤中分离出来,通过血液或淋巴管(体内淋巴管和白细胞通过淋巴管移动)到达身体遥远的区域并生长时,肺癌就会扩散。这个过程叫做转移。
非小细胞肺癌(NSCLC)或小细胞肺癌(SCLC)几乎可以扩散到身体的任何区域。
肺癌最常见的扩散部位是:
淋巴结
肝脏
骨骼
脑
肾上腺
温馨提醒:在谈论癌症的扩散或转移时,区分原发性癌症(癌症开始的地方)和继发性癌症是很重要的。转移到骨骼的原发性肺癌被称为“转移到骨骼的肺癌”,而不是“骨癌”。同样,扩散到大脑的肺癌被称为“转移到大脑的肺癌”,而不是“脑癌”。

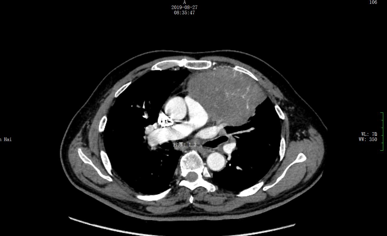
入院后胸部CT平扫+增强病灶

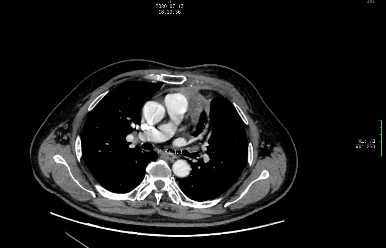
放疗结束后11个月(2020年7月)患者返院复查影像学,未发现局部复发与远处转移,左纵隔病灶及转移淋巴结明显缩小

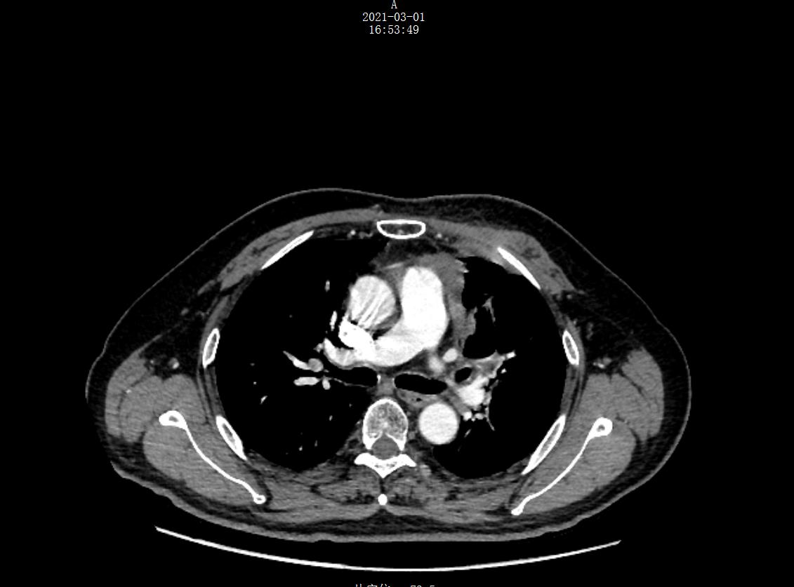
放疗结束后17个月(2021年2月)复查影像学,未发现局部复发与远处转移,左纵隔病灶及转移淋巴结仍持续缩小中