发布时间:2023-05-15来源:广西中医药大学附属瑞康医院作者:谢有科、邓承志审核:覃华芳 韦安静点击: 次
大脑是人体的“司令部”。在肿瘤大家族中,脑肿瘤对人体健康的威胁较大,而且在很短的时间内就会出现“整个人都不好”的情况,如出现双目失明、失去听力、行走困难、面瘫……甚至呼吸和心跳衰竭。这么凶险的疾病,有没有预警信号?又该如何评估我们的大脑功能呢?
两壮年男子出现神志不清、反复癫痫,竟都是颅内长了巨大肿瘤
2022年12月底,广西中医药大学附属瑞康医院(以下简称“瑞康医院”)肿瘤科一区谢有科主任收到两封感谢信,两封信的主人都是前段时间住在他所在科室的病友,他们用最直接的方式表达了对肿瘤科一区医护团队的感谢,用最质朴的语言分享喜悦。
2022年,30多岁的张先生和40岁岁的李先生,均出现神志模糊或不清,并有反复癫痫发作的情况,经过当地医院检查,张先生和李先生分别诊断为松果体肿瘤、间变型星形细胞瘤术后复发并多发种植转移,两人颅内肿瘤直径分别达4.0cm和9.8cm。由于两人颅内肿瘤太大,辗转多家医院求医未果,正当两家人要放弃的时候,听朋友介绍瑞康医院射波刀治疗恶性肿瘤的效果非常不错,两家人怀着试一试的心态来到瑞康医院肿瘤科一区。
入院后,练祖平主任和团队成员根据两人病情并结合检查结果,快速制定了治疗方案,并征得两家人同意后,在充分支持治疗的基础上,于入院第3天即制定好射波刀治疗计划并优先给予张先生和李先生治疗。经过3-4天的射波刀治疗后,张先生和李先生神志均有改善趋势,生命体征稳定,住院不到14天就出院回家疗养。
“当时听一名病友说到射波刀,还以为要开刀,后面来治疗才发现无创无痛,也不需要躺在医院太久,现在他恢复清醒,我们心里这块大石头也放下了”张先生家属说道。
“奔走几个医院,都说他头里那个瘤太大了,而且身体条件又不怎么好,没办法治疗,我们都打算放弃回家了,但这个神奇般的射波刀居然能化险为夷,他神志清醒后我们就像中了大奖一般”李先生家属说道。
科普:脑肿瘤有哪些预警信号?
体检能发现脑肿瘤,但必须做到两点:一是详细了解有无脑肿瘤的早期症状,二是要查头部CT或MRI。如果出现下列十大症状,须警惕脑肿瘤:
1.无缘无故的头痛,逐渐加重,严重时伴有呕吐。呕吐呈喷射状,呕吐后头痛有暂时好转。如果头痛伴有一侧肢体麻木无力或语言障碍时,更不能大意。
2.癫痫发作,也俗称“羊角疯”“羊角风”或“抽风”,表现为发作性的意识丧失、肢体抽动、口吐白沫等,每次发作持续数秒至数分钟不等。
3.肢体麻木无力、失语。一侧肢体无力常常逐渐加重,可以伴有麻木,休息后不能缓解;失语表现为能听懂别人说话,自己说不出来,或听不懂别人说话,或叫不出常用物品的名称(如钥匙、筷子)等。
4.步态不稳,常伴有眩晕感,闭目加重,行走直线困难,活动后容易出现恶心呕吐,类似于“晕车”“晕船”的感觉。
5.持续不可逆性的嗅觉减退或丧失(嗅觉减退),或在没有异常味道的环境里能闻到怪味道(幻嗅)。
6.视觉障碍,表现为视敏度明显下降,注视时某个方向“看不清”或“看不见”,两眼外侧余光变窄,行走时容易撞人撞物;还可以表现为视物重影、向某一个方向注视时明显。这些不同于近视和老花。
7.单侧耳鸣及随后出现缓慢加重的耳聋,伴有或不伴有头晕和步态不稳。
8.内分泌功能紊乱,常见于垂体瘤,表现为女性的停经、泌乳和不孕不育,男性的性功能减退和不育;成人的肢端肥大症,儿童的巨人症等。
9.头晕、记忆力下降与性格改变。这些症状常见于脑血管疾病、老年性痴呆,甚至被认为是人老了的“正常现象”,但这些症状也是脑肿瘤的常见症状。
10.缓慢加重的饮水呛咳、声音嘶哑和吞咽困难。


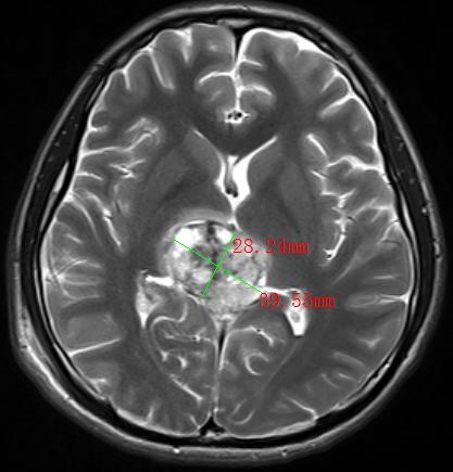
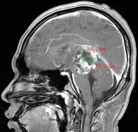
松果体区肿瘤MRI影像


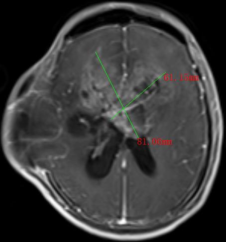
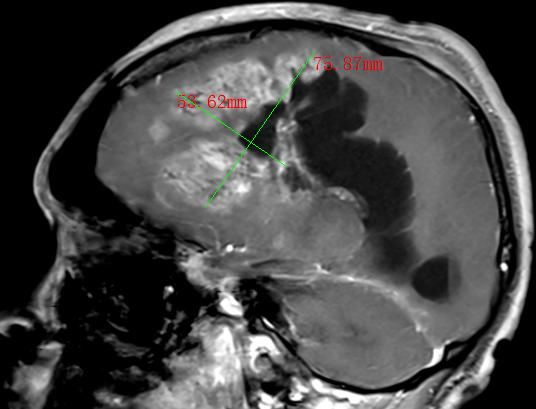
间变型星形细胞瘤术后复发并多发种植转移MRI影像