发布时间:2023-07-05来源:广西中医药大学附属瑞康医院作者:陶柳琰审核:覃华芳 韦安静点击: 次
颈部出现莫名的肿物
2019年9月,小萍发现自己的右颈部有一个约拇指大小的肿物,但无按痛、吞咽困难等不适的症状,抱着谨慎的心态,小萍决定到医院去查个明白,经在外院检查治疗后(具体用药治疗不详),小萍右颈部肿物消退,本以为一切都没事了。然而在2020年6月,肿物却再次出现,并伴有轻压疼痛,一个月后,小萍颈部肿物疼痛加重,伴头痛、呕吐、声音嘶哑等症状。7月中旬,小萍来到广西中医药大学附属瑞康医院,找到肿瘤科二区侯恩存主任,经过侯主任的详细检查及病理结果提示,小萍被确诊为鼻咽癌并颈部淋巴结转移。而此时的小萍,仅28岁,还有两个可爱的宝宝。
(关于颈部淋巴结肿大:不少鼻咽癌患者往往是自己无意中在脖子上触摸到“包块”而就医。这种“包块”很可能是肿大的淋巴结。鼻咽癌患者的颈部淋巴结肿大,常被误诊为炎症。对于经消炎治疗无缩小,甚至持续迅速增大的颈部肿块,尤其是质地较硬、活动度差、多个互相融合成团的无疼痛颈部肿块,需要及时就诊。)
力争早诊早治,射波刀+中医药为小萍带来福音!
发生于鼻咽粘膜的恶性肿瘤,其发病率占头颈部恶性肿瘤的首位。鼻咽癌早期就可能出现颈部淋巴结局部转移,甚至远处器官的转移,由于其特殊的解剖结构,很多确诊后的患者都已经是中晚期,手术治疗会严重影响患者的生活质量。针对这一情况,射波刀治疗鼻咽癌完全可避免手术带来的术后不良情况,经瑞康医院射波刀肿瘤中心临床经验发现,射波刀治疗鼻咽癌可延长患者的生命,提高患者生存质量。
鼻咽又称为上咽部,位于咽的上1/3处,颅底与软腭之间,联接鼻腔和口咽,是呼吸的关键通道。鼻咽腔由六个壁构成,形似圆拱式六边形;几个壁“各司其职”,又相互搭接。若有肿瘤侵犯,任何一处均易造成病变。同时,与鼻咽部相邻有许多重要器官,上通颅底,有多对颅神经由后向前穿行;下连颈椎和咽缩肌、咽部筋膜等。这个“中枢”部位导致患者难以抉择治疗的方法。手术后患者的生活质量会受到严重的影响。
鼻咽癌对放射线比较敏感,放射治疗是治疗鼻咽癌的首选方法。对于一些对大剂量放疗不能耐受、既往曾行普通放疗、肿瘤比较局限、局部压迫症状或疼痛明显的患者完全可采取射波刀治疗。
小萍刚入院时情况较差,合并重症肺炎、症状性癫痫,肿瘤颈部压迫症状明显,伴吞咽、呼吸困难及声音嘶哑,多次出现晕厥,病情危重,曾入住ICU 4天。经积极救治后逐渐好转。
侯恩存主任带领团队为小萍精心制定中西医结合治疗方案:
·2020年8月24日,开启第一周期单药诱导化疗,过程顺序,侯主任为小萍及时安排化疗。
·2020年9月15-9月19日,小萍开始第一次颈部,淋巴结转移瘤射波刀治疗。
(经射波刀治疗后颈部淋巴结转移瘤较前明显缩小,疼痛情况较前明显改善,咳嗽咳痰较前减少、颈部疼痛较前缓解、感染情况较前得以控制,顺利出院。)
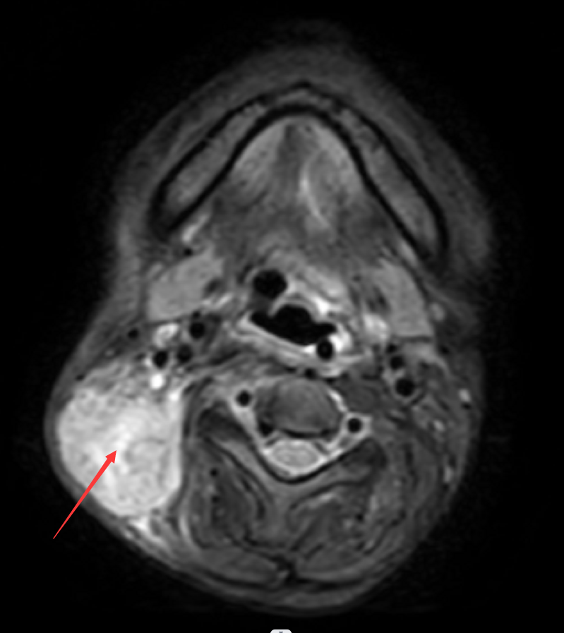
·2020-10-03再次住院,因患者肺部感染严重,暂无法化疗。右颈部淋巴结转移瘤仍较大,局部肿痛明显,故2020-10-20至2020-10-22继续行右侧颈部淋巴结转移瘤第二次射波刀治疗。
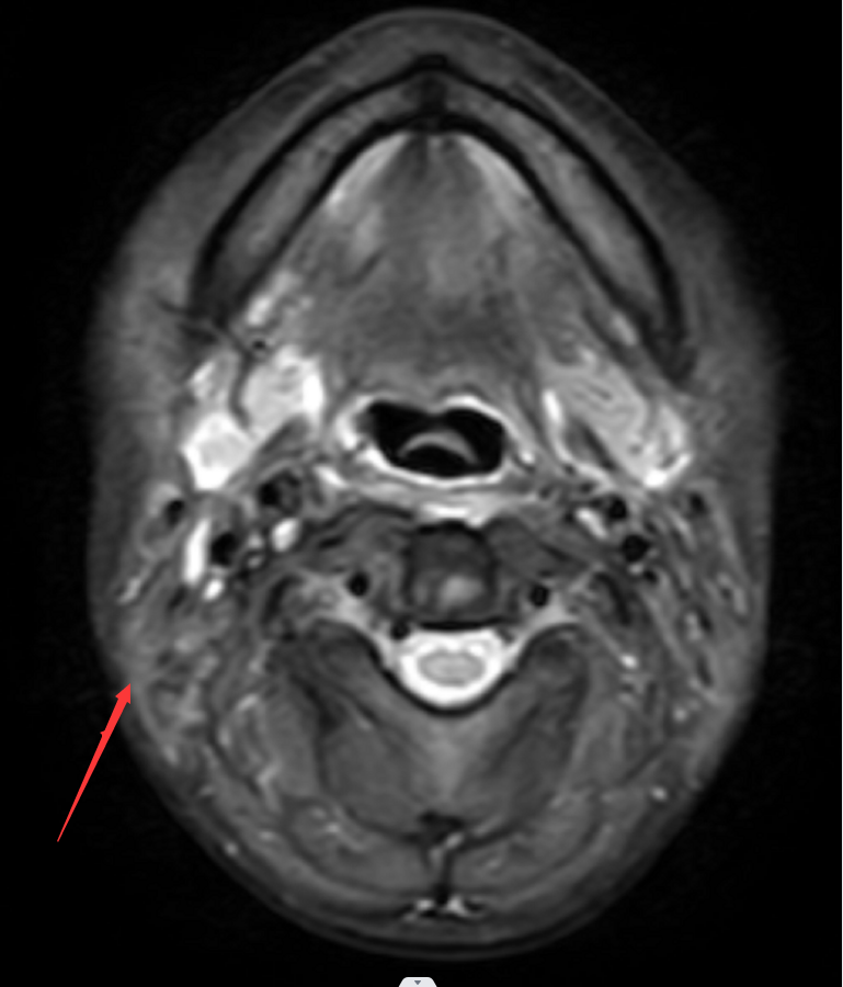
(射波刀治疗后10天,患者右颈部肿瘤已较前明显缩小,局部疼痛明显减轻。射波刀治疗后2月复查MRI提示右颈部淋巴结已消失)。进展后继续化疗加中药巩固治疗,小萍整个治疗过程,均长期配合中医药辨证治疗。此阶段的小萍情况明显好转,可生活自理,住院期间无需陪人照料,饮食、睡眠基本恢复正常。颈部肿块消失,疼痛明显缓解,无需止痛药治疗。
自2020年7月小萍确诊鼻咽癌并颈部淋巴结转移后至肿瘤科二区就诊至今,生存期已达3年时间,且极大地改善了生活质量。2023年6月,小萍复查肿瘤消退无复发,病情稳定。

2020年10月22日射波刀治疗前

2020-12-18射波刀治疗后

2022年8月2日射波刀治疗后,肿瘤已消退

2023-06-15鼻咽部MRI,肿瘤消失无复发