2013年元月23日,呼吸内科谭玉萍主任,杨益宝主治医师在内镜中心成功为一位喉癌气管转移患者实施气管内支架植入术,术后患者呼吸困难消失,治疗效果满意。
苏老伯是位65岁患者,去年4月份被诊断为喉癌晚期,丧失了手术机会,行气管切开维持通气,但近日呼吸困难日渐加重,三凹征明显。经过肺部CT及支气管镜检查发现气管套管下肿瘤转移导致气管狭窄,如不及时治疗,患者随时可能窒息死亡。时间就是生命,在谭玉萍主任指导下成功实施了气管内镍钛记忆支架植入术,患者呼吸困难消失,效果立竿见影,患者家属也长长的松了一口气。
气管狭窄可以见于恶性肿瘤气管浸润,结核疤痕,气管切开疤痕等各种原因,患者可有吸气性呼吸困难,治疗可采用支气管镜下氩气刀电凝烧灼、球囊扩张、气管支架植入术等治疗。其中气管支架植入术适应症包括:中央气道(包括气管和段以上的支气管)器质性狭窄的管腔重建;气管、支气管瘘口或裂口的封堵;气管、支气管软化症软骨薄弱处的支撑等。

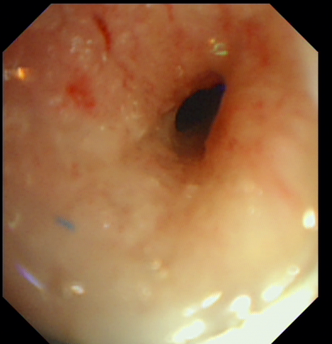
术前气管明显狭窄

支架植入术后气管通畅
急诊:0771-2188120
门诊部:0771-2188018










