发布时间:2013-05-07来源:作者:审核:赵立春点击: 次
康复奇迹又发生在瑞康医院中西医结合康复中心
-------严重脑出血患者再次能够站立行走
近日,一名重症脑损伤患者覃某经过我院中西医结合康复中心的精心治疗后,从不能行走的状态恢复成能自己安全性步行,创造了康复学上的奇迹。
2011年5月1日,覃某顺产1名女婴后出现发作性意识障碍,伴双目上视,伴牙关紧闭、口吐白沫、四肢抽搐、二便失禁,醒后伴头晕、四肢乏力、左侧肢体麻木等不适症状,遂到当地医院就诊。在其住院过程中出现意识障碍伴左侧肢体活动障碍、左下肢肿胀等症状,在进行头颅MRI+MRA等检查后,覃某被当地医院诊断为“颅内静脉窦血栓形成并伴脑皮质出血、症状性癫痫、左下肢静脉血栓形成”。
经过一段时间的治疗,覃某病情稳定后被家人送到我院神经内科三区康复中心进行治疗。在覃某入院时,康复中心的专家对她进行了评定:神清,右侧上下肢肌力2级,右侧上下肢改良Asworth痉挛评定3级,病人坐位平衡2级,站位平衡0级,,左侧肩关节半脱位,Burnnstrom评定处在第三阶段,病人痉挛及共同运动达到最高峰,病人不能行走只能坐轮椅。专家并对其进行专业诊断,认为其有颅内静脉窦血栓形成、脑出血、左下肢深静脉血栓形成、症状性癫痫、甲状腺功能低下等病症。
对于覃某的症状,目前在康复医学上尚属难题,为了能让覃某更好地康复,康复中心的专家经过多次商讨,对其制定了一整套科学详细的康复计划。
首先,将降低患者肢体及躯干的痉挛放在第一位,利用躯干核心控制理论在病人能够耐受情况下,进行逐渐增大时间的躯干旋转,并通过躯干旋转降低躯干的肌张力降低肢体的肌张力。同时进行病人日常生活训练,在日常生活中打断患者的异常运动模式,进行经B超引导下的肉毒素治疗。
通过2周的治疗,病人的痉挛明显地下降,右侧上下肢由原来住院时的改良Asworth痉挛评定3级降为1级。当患者肢体和躯干痉挛这个世界难题得到控制后,覃某的康复之路就更加顺利了。
随后,专家们对覃某进行了诱发分离运动治疗,进行坐位平衡、站位平衡训练,经过3周治疗,覃某站位平衡由0级达到3级。达到站位平衡后,覃某又进行迈步训练,又经过近3周治疗,覃某终于能够自己安全性步行。
经过系统的康复治疗,覃某由一名无法行走的重症脑损伤患者康复成可以自己安全步行的状态,不仅覃某及家人对此非常感激,更创造康复医学上的奇迹。

上矢状窦血栓形成1

上矢状窦血栓形成2

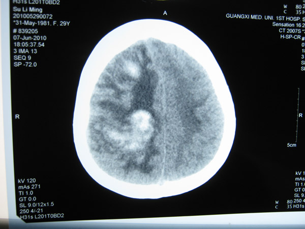
头颅CT1

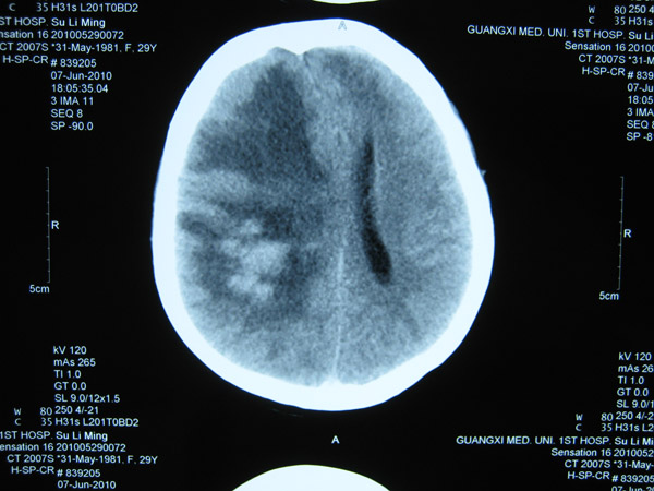
头颅CT2

患者入院时只能坐轮椅

抗痉挛治疗上躯干旋转1

抗痉挛治疗上躯干旋转2

抗痉挛治疗下躯干旋转

抗痉挛治疗下躯干旋转

屈髋屈膝训练

从坐到站训练

减重下步行训练

患腿负重训练

独立安全步行

经B超引导下肉毒素治疗1

经B超引导下肉毒素治疗2

患者出院赠送锦旗