发布时间:2013-06-21来源:作者:杨杰 神经外科:朱寿鸿审核:杨杰点击: 次
当医生告诉56岁的黄阿姨导致她瘫痪三个月的病因是脑子里面长了真菌,黄阿姨很是疑惑,真菌感染不是灰指甲、脚癣之类的皮肤病吗?
“4月份她刚来瑞康医院的时候,右边身子动都动不了,流着口水,神志不清,连女儿都不认识了。”黄阿姨对三个月前自己犯病的情形丝毫不记得,照顾她的亲友介绍了情况。
黄阿姨是宾阳百货公司的退休职工,辛苦了半辈子本来到了享受退休生活的时候,没想到今年3月时突然半身不遂,走遍广西各大医院,检查报告单和影像胶片堆起来有近一尺厚还是找不到病因。
“因为之前的医院按脑结核治了一个多月都没见好转,病情越来越严重,没办法只好转来这边了。”
黄阿姨的主治医生神经外科副主任医师朱寿鸿介绍:“她刚入院的时候情况十分危急,昏睡不止,大小便失禁。由于存在颅内出血和消化道出血的情况,她的血小板只有0.63,不到正常值的千分之一。而白细胞指数不到正常人的十分之一,稍微一点轻微的感染都有可能夺去她的生命。”
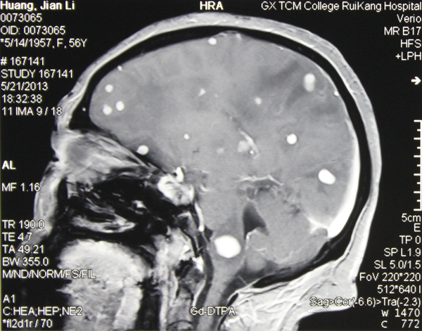
对于桌面上近一尺厚从各家医院带来的检查报告单和影像胶片,朱医生直言:整整花了一个下午才看完。从脑部CT片上可以看到黄阿姨的大脑星罗棋布地分布着点点白斑,盛医生说,各种报告都提示脑部存在病变,却不能明确病变性质。
眼看着阿姨的病情愈加严重,神经外科发挥集体的力量,多次讨论,翻阅大量资料,最终认定黄阿姨脑部患上了炎症疾病,极有可能是真菌感染,那些白斑和白点就是感染的部位。
病因决策一出,医生们便果断让阿姨停止使用在此前外院配发的抗结核药,改用抗真菌药,在将白细胞和血小板升高到正常后,通过微创活检证实的确是真菌感染。
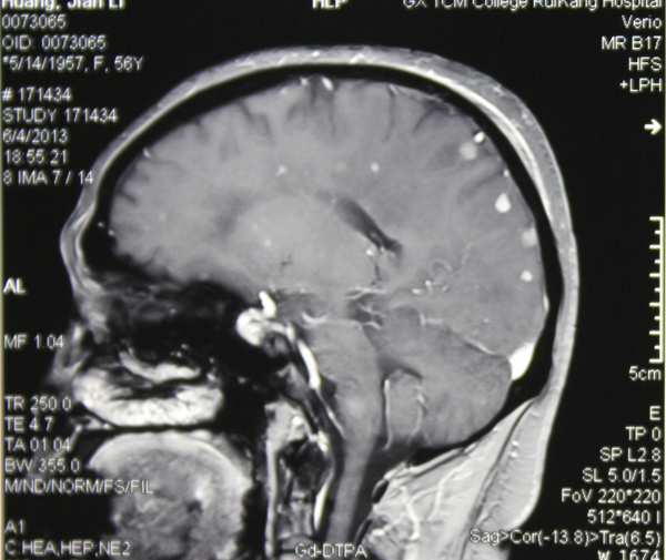
按照抗真菌治疗一个月后,黄阿姨已经能下床走路了,说话变清楚了,看到女儿也乐呵地笑了。6月18日,黄阿姨在家人的陪伴下康复出院了。
朱寿鸿医生介绍,真菌在生活中很常见,有上千种;有些是有益的,比如肠道里益生菌;还有一些对人体有害,但普通人正常接触也不会造成脑部感染,但对那些肾功能不全、长期使用抗生素和激素药物、体质弱的人来说,被真菌感染的几率大大增加。黄阿姨患有皮肤干燥症十年了,长期服用强的松。强的松是一种激素药物,具有抗炎症和抗过敏的作用。长期使用使阿姨的免疫力下降,增加了真菌感染的风险。

抗真菌感染治疗前,黄阿姨脑部布满点点真菌

治疗一个月后,大部分感染已消失或缩小。