发布时间:2022-06-10来源:广西中医药大学附属瑞康医院作者:张卫华 邓承志审核:覃华芳韦安静点击: 次
近日,我院通过高效院区协同救治,由修复重建显微外科与急诊科联合,成功救治一名严重外伤患者,现患者生命体征稳定。
重物砸伤,“绿色”联动抢时间
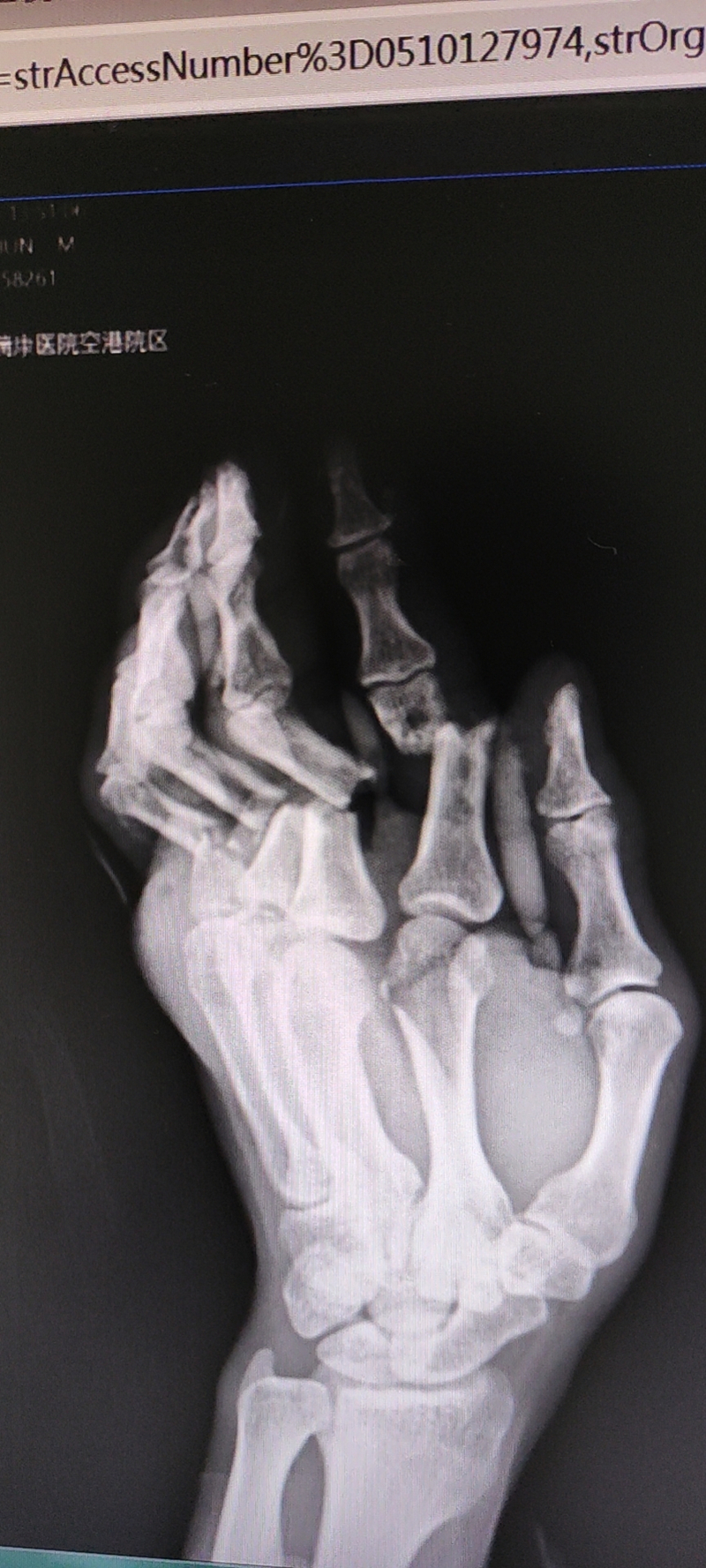
据了解,患者老A(化名)在工作中被重物砸伤,致左手食指、中指、无名指、小拇指等四根手指骨折并伴血管神经损伤,病情危急,接诊的基层医院无救治条件,于是建议老A紧急转到广西中医药大学附属瑞康医院。时间不等人,两地医院通过联动转诊,紧急通过急诊绿色通道送至南宁市。
到达我院后,急诊科组织了会诊,修复重建显微外科值班医生张卫华处置评估后,建议给老A进行紧急手术处理。“老A虽然左手虽然被厚厚的纱布包裹,但情况比较严重,仍有血液不断渗出,手指末端已出现血液运输障碍”张卫华医生跟老A家属沟通,“老A受伤已超过两个小时,而且就诊途中遇到颠簸辗转,他已处于极度虚弱状态,需要马上进行手术”。
细致解题,精技团队妙手修复
为争分夺秒抢救患者伤肢,院内绿色通道快速开启,修复重建显微外科在最短的时间内做好各项急诊手术准备,其间科室副主任兰荣玉也快速赶至医院,并利用车程时间分析了老A的情况。
考虑到患者离断伤情复杂,在实行“急诊行清创+骨折固定+血管再植”手术时,其血管再植手术阶段所需时间较长,对于手术医生体力消耗较大,兰荣玉副主任又紧急组织了第二组手术队,随时接替第一组团队进行手术。
从深夜到次日清晨,在修复重建显微外科医护团结协作、接力抢救下,老A毁损手指全部得以存活,成功完成这个保肢手术。
“忙碌了整整一夜,我们的医护人员不同程度出现疲劳状态,可就是我们责任,”兰荣玉主任说道,“休息一下,待会还有白天的择期手术。”
修复重建人就这样与时间赛跑书写生命奇迹!
医生提醒
手术的成功,不仅有赖于医护人员连夜奋战,遇到这种情况,请一定要将“断指”保存得当,这也是这个手术得以成功的前提。
重要事情说三遍:
断肢千万不要泡在水里!
断肢千万不要泡在水里!
断肢千万不要泡在水里!
往往有些人好心做坏事,直接把断肢泡在水里了,结果断肢的细胞被泡坏了,还没到手术这一步,就无法挽救了。
——兰荣玉医生
科普园地
1.离断的部分肢体一定要用干净的纱布、纸巾等包裹起来,不要污染,并用不透水密封的袋子装好,最好在冰块中放置,并尽快送到医院,避免断离部分离体时间过长,最长不超过8小时;
2.断肢千万不要泡在水里,否则会造成细胞坏死,再植成功率下降;
3.对于离断身体端,也要用干净的纸巾类物品包裹,避免过多的失血;
4.若肢体没有完全离断,应减少牵拉移动,用干净纸巾类物品包裹,尽快送到医院。


术前

术中

术后