设为首页 收藏网站
Hospital profile
广西中医药大学附属瑞康医院(原中医二附院)始建于1951年,是国家公立三级甲等综合性中西医结合医院、全国卫生系统先进集体、全国百姓放心示范医院、 国家重点中西医结合医院、国家中医药管理局国际交流合作基地...
院内导航
门诊流程
急诊流程
医保指南
News Center
Patient Services
Department
Education Teaching
Scientific Research
Nursing Garden
Info Disclosure
射波刀(CyberKnife)是当代社会最先进的全身立体定向放射治疗设备,具有精准度高、无伤口、无痛苦、无流血、无麻醉、恢复期短、预后好、患者治疗后即...
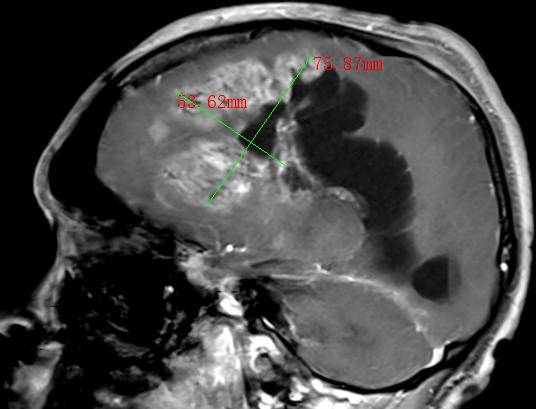
大脑是人体的“司令部”。在肿瘤大家族中,脑肿瘤对人体健康的威胁较大,而且在很短的时间内就会出现“整个人都不好”的情况,如出现双目失明、失...
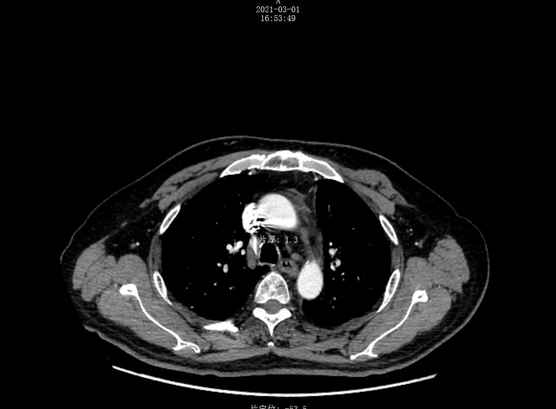
“王大爷,距离您放疗结束过了10个月,目前您状态如何?如方便,下个月记得返回我院进行复查”“王大爷,经过上次复查后,您的左纵隔病灶及转移淋巴...
2025-07-16
2025-07-15
2025-06-26
2025-06-09
清廉瑞康
预约挂号
健康体检
联系我们