「身材走样」「阴道松弛」「妊娠纹遍布」「初为人母」……当妈的,看尽了1、2、3、4、5、6点钟的太阳,女性十月怀胎生下宝宝之后,有做母亲的喜悦,更有新手妈...
它,被称为“绿色癌症”,虽然一般情况下不致命,可一旦患上便是终身伴随,必须依靠药物治疗;它,曾鲜为人知,但近年来在国内发病率迅速提高,预计20...
一、导语感冒是一种常见的上呼吸道急性感染,轻度的感冒,通过好好休息大多都能自愈。即使感冒加重了,引起下呼吸道感染(就是我们常说的肺炎),一...
今年3月3日是第23个全国“爱耳日”,今年的活动主题是“关爱听力健康,聆听精彩未来”,虽然年年说耳朵那些事,但仍存在这样或那样的误区.一、三个常...
今天,农历二月初二,是民间俗称“龙抬头”的日子,这天起,万物复苏,春天真的来了!而今年“龙抬头”,正好是世界肥胖联盟发起的世界减肥日(每年3月4...
前言:“我总是眼睛胀痛,是青光眼吗?”“青光眼要做啥检查啊?”“得了青光眼眼睛就瞎了?”“青光眼能预防吗?”蒙圈的朋友们,赶紧跟上喽!青光眼是全球...
长高— 生长发育推 —随着气温的逐渐回升美好的春天也如约而至在万物复苏、春意盎然的季节里小朋友迎来了长高最为快速的“黄金时期”春季是儿童...
提问,经常流鼻血怎么办?有的人说要举手or举脚有的人说咽下去再吐出来有的人说手拍额头或拍后颈……更重要的是,电视剧里经常演鼻血流多了大概...
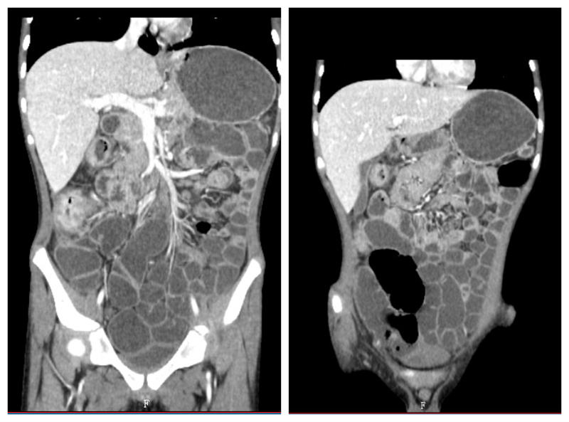
春暖花开,对炎症性肠病(IBD)患者来说,希望也已在来的路上。从2022年1月1日起新型生物制剂乌司奴单抗正式纳入医保报销,广西中医药大学附属瑞...