日前我院神经外科成功为一80岁高龄脑瘤患者实施了开颅肿瘤切除术,切除了一个5.6cm×6.3cm×5.7cm的巨大脑膜瘤,并保持了老人术后头颅外观形态...
————瑞康医院消化内科最新开展内镜逆行阑尾炎治疗术 热播韩剧《来自星星的你》中的女主角千颂伊患急性阑尾炎后痛不欲生的样子相信很多“星星...
肝癌以其治愈率低、存活率低、死亡率高的特点,一直被称为“癌中之王”。谈癌色变可以说是人们对肝癌态度的最好诠释。然而,一位年逾七旬、身患晚...
3月的一天清晨,18岁的小凌突然出现呕吐、昏迷。家人发现后,立即将他送入当地医院,后经急诊转入我院,诊断为病毒性脑炎。病毒性脑炎是病毒入侵...
吴英终于能睡个好觉了,断续十二年的头痛顽疾被治愈了,而这让她兜兜转转四处搬家,最终头痛的原因实际上是由颅内动脉瘤引起的。 神经性头...
随着我国人口老龄化进程的加速,帕金森病——这一多发于中老年人的疾病越来越多地出现在我们身边,目前,帕金森病患者正日趋年轻化。但很多人并...
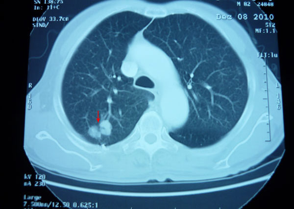
一位86岁罹患肺癌的高龄老人,经广西中医药大学附属瑞康医院射波刀治疗6天后出院,1年后复查肿块消失,2年后复查肿瘤无复发。 2010年 7月,...
一个多月前,已过古稀之年的退休老干部潘老因肠胃不适入住我院消化内科,医生在为其治疗的同时发现其尿频,夜尿多,经过详细询问,潘老把事情...
八年前,农先生38岁,正值壮年的他在家乡崇左市天等县经营着一家饮食店。2014年,46岁的他已经在大都市上海拥有一家属于自己的公司。这八年,是...
2014年4月17日,是第26个“世界血友病日”, 今年血友病日的主题是“发出你的声音,疾病因你而改变”。 “世界血友病日”是为了纪念世界血友病联盟...
稍一磕碰就流血不止,不能长时间运动,甚至不能下床走路……这些症状都是来自血友病患者,一个被人称为“玻璃人”的群体。孤单、难受、折磨,这些“玻...