为贯彻落实自治区党委、政府关于开展美丽广西清洁乡村活动的决策部署,我院结合自身实际,采取措施切实做好美丽医院活动各项工作。6月24日下午...
南城分院(北湖南棉社区卫生服务中心)位于南宁市南棉街356号,由国家三级甲等医院广西中医药大学附属瑞康医院承办,为广西区直医疗保险、南宁...
为积极响应南宁市委、市政府 美丽南宁,整洁畅通有序大行动的号召,在校团委、医院党委的指导下,2013年6月22日上午8时,广西中医药大学瑞康临床...
2013年6月21日至23日,广西中西医结合学会呼吸病学分会成立大会暨呼吸系统疾病中西医结合诊治新进展学习班在南宁召开,来自广西全区二、三级...
美丽南宁整洁畅通有序大行动实施方案 为全面贯彻落实党的十八大精神和自治区党委、政府关于开展美丽广西清洁乡村活动的重大战略部署,...
亲爱的同学们,尊敬的老师、家长朋友们: 环境是最生动的教材,社会是最好的课堂。当前,南宁市正在举全市之力、聚全民之智,广泛开展美丽南宁...
尊敬的驾驶人朋友: 您好! 整洁、畅通、有序的交通环境,是所有驾驶人的共同追求。只有这样,公交车才能更加便捷,出租车才能更加得益,...
美丽南宁 需要你我他 致市民朋友的一封信 尊敬的市民朋友: 南宁,我们学习、工作的乐土,生活、休息的家园;南宁,秀美壮乡的首府,广西...
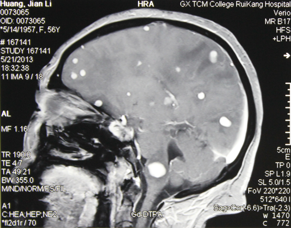
当医生告诉56岁的黄阿姨导致她瘫痪三个月的病因是脑子里面长了真菌,黄阿姨很是疑惑,真菌感染不是灰指甲、脚癣之类的皮肤病吗? 4月份她...
近日,共青团广西区委、自治区人力资源和社会保障厅公布了2012-2013年度广西(杰出)青年岗位能手名单。经过层层评选,我院赵立春荣获2012-2013...
有了肝病方面的困惑去哪里找专家咨询?很多患者及家属都感觉挂个专家号不容易,能随时随地与专家交流病情更困难。但现在,您可以通过上网,打电...