欢迎访问广西中医药大学附属瑞康医院官方网站

设为首页 收藏网站

裹中参西,厚德精医

新闻中心

医疗技术

  • 产科孕妇学校受欢迎准父母盛赞“很实用”

    产科孕妇学校受欢迎准父母盛赞“很实用”

    12月6日上午,我院四楼孕妇教室里不时传来欢声笑语,产科玉华主治医师正给准妈妈准爸爸们讲述孕期第一课,玉华医生通过通俗易懂、幽默的语言,...

    发布时间:2014-12-09 来源:
  • 中药治愈顽固银屑病患者锦旗致谢老教授

    中药治愈顽固银屑病患者锦旗致谢老教授

    2014年12月18日,南宁邮政局的颜先生跟妻子一起,带着锦旗和感谢信来到广西中医药大学附属瑞康医院二楼国医堂廖瑜修教授的门诊,逢人便激动...

    发布时间:2014-12-25 来源:
  • 甲状腺疾病再添新招:隐疤痕手术治疗

    甲状腺疾病再添新招:隐疤痕手术治疗

    今年44岁的赵女士体检发现右边甲状腺长了一个肿物,咨询多个医院均告知需要手术切除,但是赵阿姨害怕颈部留下手术疤痕,迟迟没有手术治疗。经...

    发布时间:2015-01-09 来源:
  • 突发罕见产后羊水栓塞十学科合力抢救成功

    2014年12月25日,一名来自浙江的32岁产妇产后突发罕见的羊水栓塞,经广西中医药大学附属瑞康医院多学科合力急救,20多名医护人员忙碌24小时,...

    发布时间:2015-01-12 来源:
  • 60%颈动脉狭窄七旬老人脑卒中风险被排除

    60%颈动脉狭窄七旬老人脑卒中风险被排除

    71岁的温大爷患高血压病和心脏病有两年多了。 2012年中,一向康健的温大爷突发胸痛,呼吸困难,上气不接下气,一直痛,痛到后背,休息以后也...

    发布时间:2015-01-21 来源:
  • 年轻妈妈患上“大脖子病” 微创手术去甲亢隐疤痕

    年轻妈妈患上“大脖子病” 微创手术去甲亢隐疤痕

    2015年1月20日,刚刚做完甲状腺切除术一周时间的小韦坐在床上连说两遍:真是难以置信,效果实在是太好了。 24岁的小韦是两个女孩的妈妈,性...

    发布时间:2015-01-26 来源:
  • 五年取石十一次 凶手竟是蛔虫

    五年取石十一次 凶手竟是蛔虫

    46岁的韦女士可是被反复发作的胆结石折腾得够呛。 胆结石反复发作 五年取石十一次 2010年,家住宜州的韦女士突发胃痛,痛了两天两夜,...

    发布时间:2015-02-12 来源:
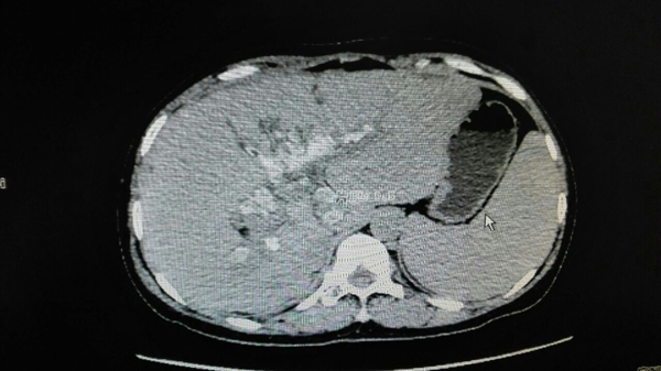
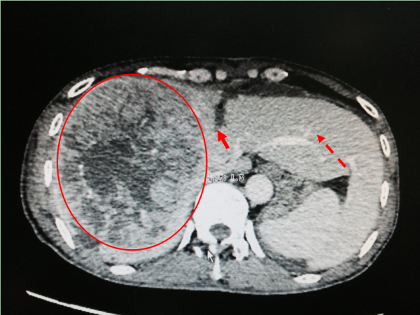
  • 男子二十余年不患病 一病便是巨大肝癌——我院第二例二步肝癌切除术(ALPPS术)成功完成

    男子二十余年不患病 一病便是巨大肝癌——我院第二例二...

    突然接到电话说我哥住院了,觉得非常不可思议!十多天后,粱先生的小弟还对哥哥突然生病一事很疑惑。 因二十几年没有生过病,突然就住院了,...

    发布时间:2015-02-16 来源:
  • 脑子里面长“气球” 弹簧胶水封起来

    脑子里面长“气球” 弹簧胶水封起来

    气球灌水的游戏大家小时候玩过,灌到一定程度气球就会嘭地爆炸。事实上,人的大脑也会长气球,这气球里面灌的可不是水,而是血液。这个气球叫做...

    发布时间:2015-03-05 来源:
  • 肠癌患者术后脑转移致偏瘫射波刀治疗3次肢体功能恢复

    肠癌患者术后脑转移致偏瘫射波刀治疗3次肢体功能恢...

    近期,广西中医药大学附属瑞康医院放疗科利用射波刀治疗一位肠癌术后脑转移导致偏瘫的患者,经治疗半个月后肢体功能恢复。 家住南宁市的...

    发布时间:2015-03-06 来源:
  • 总是治不好的“风湿病”

    总是治不好的“风湿病”

    张老伯的风湿病最近又复发了,四肢多个关节肿胀疼痛,严重时连下床都困难。张老伯今年60多岁,已被风湿病折磨了十几年,虽然经过多家医院及无数...

    发布时间:2015-03-17 来源:
共101页 ...686970... 末页 页跳转

清廉瑞康

预约挂号

门诊流程

医保指南

健康体检

联系我们

返回顶部