欢迎访问广西中医药大学附属瑞康医院官方网站

设为首页 收藏网站

裹中参西,厚德精医

新闻中心

医疗技术

  • 眼睑基底细胞癌新疗法:手术结合射波刀

    眼睑基底细胞癌新疗法:手术结合射波刀

    “金刚狼”休•杰克曼2013年被查出患有基底细胞癌,进行了三次皮肤癌治疗。本以为情况已经完全控制,2014年10月却再度爆出患癌,让他也忍不住透...

    发布时间:2014-11-14 来源:
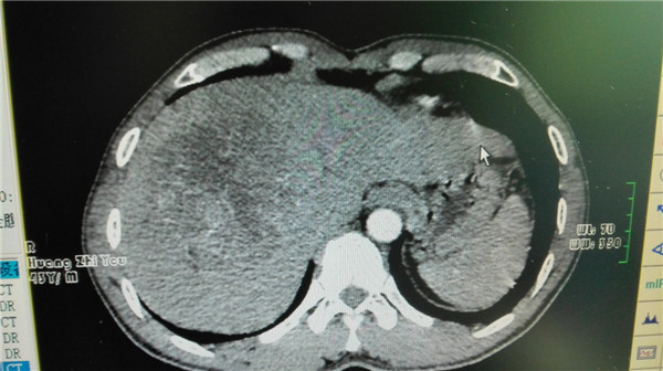
  • 清毒扶正抗肝癌——广西中医药大学附属瑞康医院中西医结合“三联疗法”治疗肝癌显效

    清毒扶正抗肝癌——广西中医药大学附属瑞康医院中西医结...

    肝癌是一种最常见的恶性肿瘤之一,而且恶性程度很高,人们往往谈肝癌色变。广西是肝癌的高发区。据统计,2007年以来,瑞康医院运用射波刀+中草...

    发布时间:2014-11-20 来源:
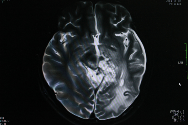
  • 替莫唑胺辅以中药固本花季脑瘤少女重现欢颜

    替莫唑胺辅以中药固本花季脑瘤少女重现欢颜

    18岁的小雨本来应该在高三的课堂上,但是自2012年被查出患有左侧脑室管膜瘤,因头晕乏力休学在家,学校生活便离她远去了。所幸的是经过我院肿...

    发布时间:2014-11-21 来源:
  • 大肝癌未必只能“坐以待毙”

    大肝癌未必只能“坐以待毙”

    肝癌素有“急性癌”之称,起病隐匿、发展快、预后差。大肝癌是指肿瘤直径5cm的肝癌,而巨大肝癌则是指肿瘤直径10cm 的肝癌,两者约占临床确诊肝癌...

    发布时间:2014-11-21 来源:
  • 准妈妈不知身患先心病产科联合多科救危急母子

    准妈妈不知身患先心病产科联合多科救危急母子

    11月9日凌晨,瑞康医院产科来了一位90后孕妇,孕妇在产前才发现患有先天性心脏病,母子命悬一线,在产科和重症监护、麻醉科、心胸外、内科等多学...

    发布时间:2014-11-26 来源:
  • 气温骤降青年人也有心脏病危险

    12月以来南宁进入寒冬,气温骤降,心血管疾病患者增多。广西中医药大学附属瑞康医院心血管一区副主任陈广琴介绍,1号以来门急诊患者增加了近3...

    发布时间:2014-12-05 来源:
  • 产科孕妇学校受欢迎准父母盛赞“很实用”

    产科孕妇学校受欢迎准父母盛赞“很实用”

    12月6日上午,我院四楼孕妇教室里不时传来欢声笑语,产科玉华主治医师正给准妈妈准爸爸们讲述孕期第一课,玉华医生通过通俗易懂、幽默的语言,...

    发布时间:2014-12-09 来源:
  • 中药治愈顽固银屑病患者锦旗致谢老教授

    中药治愈顽固银屑病患者锦旗致谢老教授

    2014年12月18日,南宁邮政局的颜先生跟妻子一起,带着锦旗和感谢信来到广西中医药大学附属瑞康医院二楼国医堂廖瑜修教授的门诊,逢人便激动...

    发布时间:2014-12-25 来源:
  • 甲状腺疾病再添新招:隐疤痕手术治疗

    甲状腺疾病再添新招:隐疤痕手术治疗

    今年44岁的赵女士体检发现右边甲状腺长了一个肿物,咨询多个医院均告知需要手术切除,但是赵阿姨害怕颈部留下手术疤痕,迟迟没有手术治疗。经...

    发布时间:2015-01-09 来源:
  • 突发罕见产后羊水栓塞十学科合力抢救成功

    2014年12月25日,一名来自浙江的32岁产妇产后突发罕见的羊水栓塞,经广西中医药大学附属瑞康医院多学科合力急救,20多名医护人员忙碌24小时,...

    发布时间:2015-01-12 来源:
  • 60%颈动脉狭窄七旬老人脑卒中风险被排除

    60%颈动脉狭窄七旬老人脑卒中风险被排除

    71岁的温大爷患高血压病和心脏病有两年多了。 2012年中,一向康健的温大爷突发胸痛,呼吸困难,上气不接下气,“一直痛,痛到后背,休息以后也...

    发布时间:2015-01-21 来源:
共101页 ...676869... 末页 页跳转

清廉瑞康

预约挂号

门诊流程

医保指南

健康体检

联系我们

返回顶部