欢迎访问广西中医药大学附属瑞康医院官方网站

设为首页 收藏网站

裹中参西,厚德精医

新闻中心

医疗技术

  • 肿瘤二区统筹治疗模式为患者解除病痛

    肿瘤二区统筹治疗模式为患者解除病痛

    一跤摔出肺癌晚期 抽烟熬夜实乃罪魁祸首 41岁的梁先生在横县从事船运工作,身体一向健壮的他,没想到一次看似平常的摔跤竟然揭开了他...

    发布时间:2014-07-15 来源:
  • 世界杯后肺部感染来袭规律作息抗热感

    世界杯结束之后,取代酒吧火热程度的是医院的呼吸门诊。世界杯开始以来,光我一个人接诊的肺部感染病人就有十个了。广西中医药大学附属瑞康医...

    发布时间:2014-07-16 来源:
  • 小心!空腹吃柿子 胃里长结石

    小心!空腹吃柿子 胃里长结石

    常听说胆结石、尿结石,但你听说过胃结石吗?几天前,家住南宁的黄先生因为持续胃痛,吃点东西就呕吐,多方求医无门下来到广西中医药大学附属瑞...

    发布时间:2014-07-18 来源:
  • 瑞康医院成功完成广西区内首例二步肝癌切除术(ALPPS手术)

    瑞康医院成功完成广西区内首例二步肝癌切除术(ALPPS手...

    伴随着监护仪发出平稳的滴、滴声响,在明亮的无影灯下,广西中医药大学附属瑞康医院肝胆外科的医生们正紧张有序地为一名患者进行手术。在跨越...

    发布时间:2014-07-21 来源:
  • 一动腰就痛,吃不下,睡不着原来是髋关节发炎

    7年来,65岁的农阿姨可谓吃尽了苦头。长年腰痛不说,就连吃饭、睡觉也不得安宁。 她以为这是腰部疾病,前后不知花了多少费用,看了多少医生...

    发布时间:2014-07-29 来源:
  • 肩膀痛不等于“肩周炎”——微创外科技术系列报道(一)

    肩膀痛不等于“肩周炎”——微创外科技术系列报道(一)

    在我国,老百姓有了肩部疼痛和活动受限就自认为患了肩周炎,甚至部分骨科医生也常常用肩周炎笼统地诊断肩部病痛。其实肩膀痛完全不等于...

    发布时间:2014-07-31 来源:
  • 动脉栓塞——射波刀——中医扶正 肿瘤科二区治疗三部曲成功狙击原发肝癌

    动脉栓塞——射波刀——中医扶正 肿瘤科二区治疗三部曲成...

    黄先生今年44岁,家住南宁市坛洛镇,2014年2月因上腹部疼痛不适到坛洛镇第二卫生院就诊,B超检查发现肝脏肿块,医生告诉他可能是肝癌。 201...

    发布时间:2014-08-08 来源:
  • 不明原因发热警惕ANCA相关性血管炎

    46岁的黄女士身体一直比较健康,但从今年7月初在灵山务农的她突然出现发热和双脚麻木的情况,自以为是感冒发烧后来到当地医院,打了几天的点...

    发布时间:2014-08-27 来源:
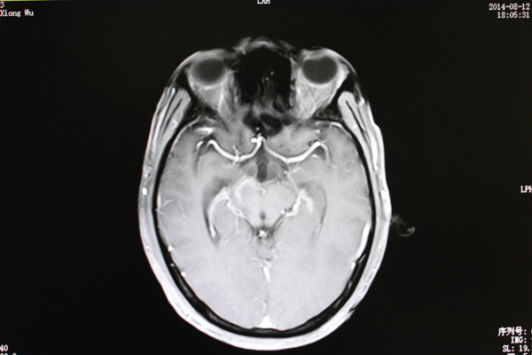
  • 脑干长肿瘤不能开刀?射波刀一解难题

    脑干长肿瘤不能开刀?射波刀一解难题

    41岁的黄先生在平南县从事农贸生意,家中儿女双全,本过着幸福的生活。然而两个月前黄先生莫名出现头晕,左耳耳鸣的情形,以为是小毛病就不太...

    发布时间:2014-08-31 来源:
  • 桂林籍74岁重病老人寻亲

    桂林籍74岁重病老人寻亲

    截止9月1日,74岁生活无法自理的谭之扬老人已经孤独一人躺在广西中医药大学附属瑞康医院急诊科病床上28天,现在虽然仍卧床,但经过急诊科医...

    发布时间:2014-09-03 来源:
  • 治不好的腰腿痛 考虑椎管内肿瘤——神经外科成功完成一例罕见椎管内多发神经鞘瘤

    治不好的腰腿痛 考虑椎管内肿瘤——神经外科成功完成一...

    54岁的老孙常年在深圳务工,一年多来以来老孙饱受腰部疼痛折磨,由于自己工作的性质,加上疼得不是很厉害,老孙以为是常见的腰椎病,也就没当...

    发布时间:2014-09-05 来源:
共101页 ...666768... 末页 页跳转

清廉瑞康

预约挂号

门诊流程

医保指南

健康体检

联系我们

返回顶部